105年:醫學四(2)

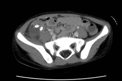
12 歲男生因急性發作腹痛、嘔吐、發燒而至急診室,注射對比劑後的下腹部電腦斷層掃描影像如圖,則最可能之原因為 何? 圖片

A急性闌尾炎破裂
B腎結石
C血吸蟲病
D膽結石

詳細解析

本題觀念:

急性闌尾炎破裂(perforated appendicitis)是兒童腹部急症的重要鑑別診斷。12歲男孩出現急性發作腹痛、嘔吐、發燒三聯徵,電腦斷層掃描(computed tomography, CT)是評估闌尾炎及其併發症的重要工具,可辨認穿孔的特異性影像表現。

影像分析:

圖片為注射顯影劑後的下腹部橫切面電腦斷層(contrast-enhanced CT, CECT):

  • 右下腹(RLQ)可見一個密度不均的團塊狀病灶,周邊有顯影劑環形強化(rim-enhancing)的液體積聚,符合腹膜周圍膿瘍(periappendiceal abscess)
  • 病灶周邊脂肪組織呈現條紋狀密度增高(fat stranding),代表周邊腸繫膜及脂肪有發炎浸潤
  • 右下腹結構紊亂,正常闌尾結構無法辨識,提示闌尾已穿孔
  • 可見少量腹腔游離液(free fluid)
  • 左側及下方可見正常的髂腰肌(iliopsoas muscle)及兩側髂骨(iliac bone)
  • 無腎結石高密度鈣化影、無膽囊結構異常、無蟲卵鈣化,排除腎結石、膽結石及血吸蟲病

選項分析

(A) 急性闌尾炎破裂:CT 呈現右下腹環形強化膿瘍、周邊脂肪條紋狀浸潤、游離液,正常闌尾結構消失,高度符合穿孔性闌尾炎並發腹膜周圍膿瘍。兒童因網膜(omentum)

...(解析預覽)...