105年:醫學四(1)

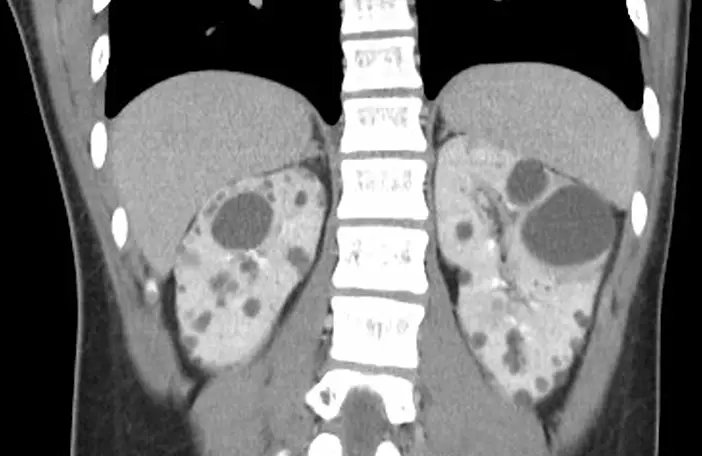
14 歲男童,其父親患有高血壓;男童電腦斷層掃描檢查如圖,其最可能診斷為何? 圖片

A腎絲球炎
B腎盂腎炎
C腎結石
D多囊腎

詳細解析

本題觀念:

本題呈現一位 14 歲男童,父親患有高血壓,電腦斷層掃描顯示雙腎異常,考生須從影像及家族史整合判斷最可能的診斷。核心概念為**體染色體顯性多囊性腎臟病(autosomal dominant polycystic kidney disease, ADPKD)**的影像診斷與家族史特徵。

影像分析:

圖片為腹部電腦斷層掃描冠狀切面(coronal CT),顯示:

  • 雙側腎臟明顯增大,輪廓呈分葉狀(lobulated contour),正常腎臟形態消失
  • 雙腎內可見大量多發性囊腫(multiple cysts),大小不等,直徑從數毫米至數公分均有,呈圓形或橢圓形
  • 囊腫密度接近水(低密度,CT 值約 0–20 HU),代表內含清澈液體
  • 囊腫分布遍及整個腎實質,腎實質受壓、變薄
  • 雙側病灶呈對稱性分布,雙腎受累
  • 未見明顯腎盂積水、腎結石(高密度鈣化影)或腎臟腫瘤

此影像所見為**多囊腎(polycystic kidney disease)**的典型 CT 表現,結合患者年齡(14 歲)與父親有高血壓的家族史,高度符合 ADPKD。

選項分析

(A) 腎絲球炎(glomerulonephritis) CT 上腎絲球炎通常表現為腎臟腫大但無囊腫,急性期可見腎皮質水腫,慢性期腎臟萎縮。不符合

...(解析預覽)...