105年:醫學五(1)
52 歲男性患者,因為發燒,右上腹悶痛來到急診,腹部電腦斷層如下圖所示,其可能的診斷為何? 
A阿米巴肝膿瘍
B細菌性肝膿瘍
C總膽管結石併膽道炎
D膽囊結石併膽囊炎
詳細解析
本題觀念:
本題考查腹部電腦斷層(CT)影像判讀,結合臨床表現(發燒 + 右上腹悶痛)進行鑑別診斷。重點為辨識總膽管擴張(common bile duct dilatation)的 CT 特徵,並對應 Charcot 三合徵(Charcot's triad)的急性膽道炎病生理。
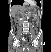
影像分析:
本題圖片為腹部電腦斷層冠狀切面(coronal view)。影像所見:
- 中央管狀低密度結構:可見肝臟內及肝門部有明顯擴張的管狀低密度影,走向符合總膽管(common bile duct, CBD)及肝內膽管(intrahepatic bile ducts)的解剖位置,顯示膽道系統擴張(biliary dilatation)。
- 肝臟形態:肝臟大小尚可,未見明顯巨大低密度膿瘍腔,不符合肝膿瘍的典型表現。
- 膽囊區域:影像中未見膽囊壁明顯增厚或膽囊周圍積液的典型膽囊炎徵象。
- 腹主動脈及脊椎:可見正常解剖結構,用於影像定位。
整體影像最重要的發現為肝內外膽管擴張,結合患者發燒與右上腹疼痛,高度提示總膽管結石(choledocholithiasis)造成膽道阻塞並繼發急性膽道炎(acute cholangitis)。
選項分析
(A) 阿米巴肝膿瘍(Amoebic liver abscess)
...(解析預覽)...
![醫師[2] - 肝臟與門靜脈高壓外科 - AI 圖文解析預覽](/_next/image?url=https%3A%2F%2Fbgvxfcrmbdvefjhuvrmt.supabase.co%2Fstorage%2Fv1%2Fobject%2Fpublic%2Fvisual-explanations%2F1077%2F71819_t6b5o136o.webp&w=3840&q=75)
升級 VIP 解鎖圖文解析