113年:專師內科
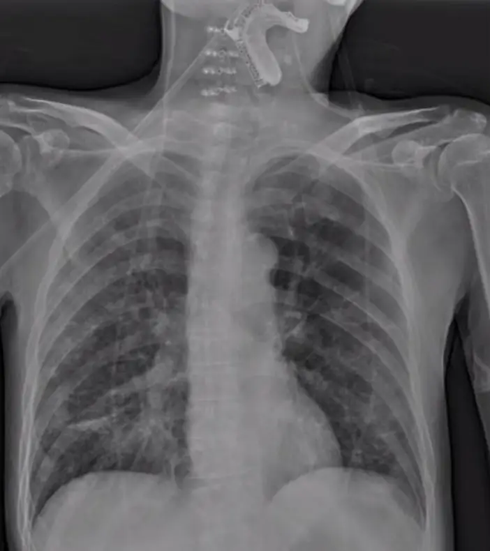
病人曾接受頸椎手術及腦瘤手術,腦瘤術後因水腦放置 V-P shunt,因吞嚥困難放置鼻胃管,此次因新冠病毒感染住院,住院時的胸部 X 光如圖(六),經治療後病況改善,1 週後病人突然血氧下降、痰液變多及意識變差,同時發現有解血便,當日胸部 X 光如圖 (七)。下列何項檢查處置,應最優先被執行?
A腦部核磁共振檢查
B腹部電腦斷層檢查
C大腸鏡檢查
D喉鏡檢查
詳細解析
本題觀念:
本題在於認識鼻胃管(NGT)誤置於氣道所造成的急性血氧下降、吸入性肺炎與顱內手術後患者吞嚥障礙的特殊風險;並瞭解影像判讀與緊急處置優先順序——首要排除NGT誤置。
影像分析:
– 初次胸部X光(圖六)可見雙肺野清晰無明顯浸潤,並見一條電磁密度適中的管路沿食道下行至胃部,位置符合胃管放置路徑。
– 一週後胸部X光(圖七)顯示頸部及上縱膈區域出現一條電磁密度較高的管狀構造,其走形與典型食道路徑不符,且位於氣管前方,提示管尖已誤置入氣道或咽喉部(pmc.ncbi.nlm.nih.gov)。此時患者突然血氧下降、痰量增加、意識改變並有解血便(melena),合併影像異常走形高度懷疑NGT誤置。
選項分析
-
選項A 腦部核磁共振檢查
患者雖有既往頸椎與腦瘤手術病史、V-P shunt,但當前急性病況(急性血氧下降、痰量增加、意識改變)與腦部病灶相關性不高,且CXR已有異常提示,MRI需時較久,非首選。 -
選項B 腹部電腦斷層檢查
解血便雖可能提示消化道出血,但melena可由誤置NGT導致呼吸道出血經咽下所致,腹部CT檢查同樣耗時且無助於即時排除致命性氣道誤置。 -
選項C 大腸鏡檢查
...(解析預覽)...

升級 VIP 解鎖圖文解析