114年:醫學六(2)

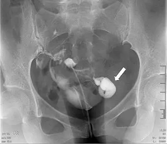
34歲女性子宮輸卵管攝影檢查呈現如圖,箭號所指之病灶,下列何者為最恰當之診斷? 圖片描述

A輸卵管積水( hydrosalpinx )
B子宮(輸卵管)外孕
C輸卵管惡性腫瘤
D子宮內膜異位

詳細解析

本題觀念:

Hysterosalpingography(HSG)顯示輸卵管因遠端阻塞而充滿液體,導致管腔呈腫大、梨狀或沙漏狀,典型稱為 hydrosalpinx。

影像分析:

從所示的 HSG 正位 X 光片可見子宮腔注入對比劑後,對比劑沿雙側輸卵管向周邊流出。在右側(箭號處),對比劑在近端管口之下累積成一大腔狀結構,管壁細薄、形狀呈梨狀或「香煙袋(tobacco pouch)」樣,並無明顯的腹腔逸散,顯示遠端輸卵管阻塞後內部積液。此腔狀擴張與對比劑無法通過證實管腔封閉。

選項分析

  • 選項A 輸卵管積水(hydrosalpinx)
    典型 HSG 表現為遠端管口阻塞、管腔細長而擴張,末端梨狀或沙漏狀,對比劑囊狀聚集,無腹腔逸出,並常見「waist sign」(兩側管壁向內凹陷)或「tobacco pouch」外觀。此與題中影像相符(pubmed.ncbi.nlm.nih.gov, link.springer.com)。

  • 選項B 子宮(輸卵管)外孕
    懷孕期間禁做 HSG;若已經發生輸卵管妊娠,HSG 也不會顯示特定對比劑囊狀積聚,且此檢查不適用於懷孕患者。

  • 選項C 輸卵管惡性腫瘤
    輸卵管原發或轉移性惡性腫瘤極為罕見。HSG 多見局灶性粘膜不規則填充缺損,非整段均勻擴張。影像中未見多發不規則填充缺損或侵犯周圍組織的表現。

  • 選項D 子宮內膜異位
    如形成 hematosalpinx,MRI T1 加權序列可見高信號,HSG 只會顯示管腔阻塞,無特異性水樣充盈外觀,且 hematosalpinx 影像與清亮液體擴張不同。

答案解析

箭號處所示為典型的 hydrosalpinx,在遠端阻塞後出現管腔擴張、梨狀/沙漏狀囊性積液且無對比劑逸出,符合輸卵管積水特徵,故以 A 最恰當。

臨床重要性

Hydrosalpinx 最常見病因為未癒合的盆腔炎(PID),在不孕症評估中需早期發現。存在 hydrosalpinx 時,不論自然受孕或體外受精(IVF),皆顯著降低胚胎著床率,故通常建議於 IVF 前以 salpingectomy 或 proximal tubal occlusion 處理以提升成功率。