114年:醫學六(1)
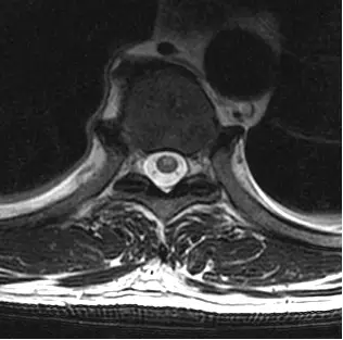
51歲男性主訴跌倒後數小時開始出現四肢無力且大小便失禁,圖為病人的胸椎磁振造影影像(T2WI),下列敘述何者錯誤?
A臨床表現和影像符合spinal cord infarction
Bspinal cord infarction在磁振造影中,脊髓可能見到owl's eye表現
C受影響的血管最常是posterior spinal artery
D脊髓的主要血液供應來自一條anterior spinal artery和一對posterior spinal arteries
詳細解析
本題觀念:
本題核心在於脊髓缺血性梗塞(spinal cord infarction)的臨床表現、MRI 特徵與脊髓血管供應解剖。脊髓梗塞多因 anterior spinal artery (ASA) 的灌注障礙所致,典型影像上於 T2-weighted axial 可見中央前灰質雙側高訊號的 “owl’s eye” 樣貌,且多伴隨急性肢體無力及自主神經功能喪失。
影像分析:
從提供的 axial T2WI 影像可見:
- 脊髓橫切面中央偏前之灰質區域呈對稱性高訊號,形似貓頭鷹雙眼(owl’s eye sign)。
- 周邊白質相對低訊號,無明顯腫大或壓迫病灶的外在病灶。
此影像模式最符合 anterior spinal artery 供應區域之中央灰質缺血性改變,典型於 ASA 病變所致(ajnr.org)。
選項分析
-
選項A
臨床於跌倒數小時後迅速出現四肢無力及大小便失禁,屬於急性脊髓症狀,MRI 顯示中央灰質高訊號,與 spinal cord infarction 臨床及影像所示吻合,故此選項正確。 -
選項B
...(解析預覽)...
![醫師[2] - 脊髓與周邊神經疾病復健 - AI 圖文解析預覽](/_next/image?url=https%3A%2F%2Fbgvxfcrmbdvefjhuvrmt.supabase.co%2Fstorage%2Fv1%2Fobject%2Fpublic%2Fvisual-explanations%2F181%2F807_t6b35cc3c.webp&w=3840&q=75)
升級 VIP 解鎖圖文解析