112年:醫學三(1)
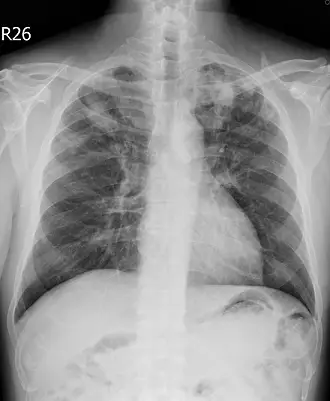
吳先生 45歲,不抽菸,因咳嗽 2 個月至門診就醫,胸部X光檢查結果如圖所示,最可能的診斷為何?
A細菌性肺炎
B間質性肺炎
C肺結核
D肺癌
詳細解析
本題觀念
本題探討胸部X光片對於慢性咳嗽患者的影像判讀,重點在於鑑別慢性肺部病變中最具代表性的影像特徵,並與細菌性肺炎、間質性肺炎及肺癌進行比較,以確定最可能的診斷。
影像分析
從正位胸部X光片觀察:
- 右上肺野可見不規則、斑片狀混濁,帶有節結性鈣化或纖維化影,邊緣不如典型肺葉性肺炎邊界清楚。
- 右上肺區伴有輕微容積減少,導致同側橫膈稍微抬高及肋間間距變窄。
- 未見單一大塊類圓形病灶或明顯實質腫塊,也無典型空氣支氣管徵。
- 無廣泛彌漫性細絲狀或磨玻璃影,排除主要以網狀或蜂窩狀為特徵的間質性肺疾患。
上述影像符合慢性、以上葉為主的纖維結節影與容積減少,提示以結核桿菌引起的再發型(post-primary)肺部病灶。
選項分析
- 選項A 細菌性肺炎
- 病程通常急性,引發典型肺葉性或支氣管肺炎型表現,多見下葉混濁或區域性實變,伴空氣支氣管徵。
- 本例病人咳嗽已2個月,X光無明顯肺葉邊界分明的實變區,也無典型空氣支氣管徵,與細菌性肺炎不符 ([knyamed.com](https://knyamed.com/blogs/difference-between/pneumonia-vs-tuberculosis-x-ray?srsltid=AfmBOooFPbzfpZo1u3Kob-J4V5b8_AqTl
...(解析預覽)...
![醫師[2] - 肺部感染 - AI 圖文解析預覽](/_next/image?url=https%3A%2F%2Fbgvxfcrmbdvefjhuvrmt.supabase.co%2Fstorage%2Fv1%2Fobject%2Fpublic%2Fvisual-explanations%2F190%2F7553_t8895ae2e.webp&w=3840&q=75)
升級 VIP 解鎖圖文解析