113年:醫學三(1)
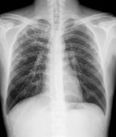
30歲男性因咳嗽有痰數月而就醫,其胸部X光檢查如附圖。下列何者為最可能的診斷?
A肺結核
B肺膿瘍
C肺炎
D肺癌
詳細解析
本題觀念
30歲成人的慢性咳痰合併胸部X光上葉空洞性病灶,最符合 postprimary (reactivation) pulmonary tuberculosis 的典型影像學表現,包括上葉空洞(cavitation)、厚壁且邊緣不規則,以及纖維化所致的肺容積減少。
影像分析
- 影像為PA投影胸片,穿透度適中,左右肺野及中縱隔結構清晰。
- (患者左側)上葉可見多發、不規則厚壁空洞性病灶,壁緣粗糙;空洞內無顯著液平面。
- 同側縱隔略向病灶側牽拉偏移,橫膈輕微抬高,顯示纖維化引起的肺容積減少。
- 對側肺野呈代償性過充氣狀態,肺紋理較為增粗。
- 未見大範圍實變或明顯胸腔積水,也無胸腔氣胸徵象。
選項分析
-
選項A 肺結核 (Pulmonary Tuberculosis)
• Postprimary TB 常見於成年人,偏好上葉後段,約50%的患者會形成厚壁空洞,且伴纖維化與體積收縮(ajronline.org)。
• 空洞性病灶邊緣不規則,無液平面,病程可達數月,與臨床慢性咳痰吻合。 -
選項B 肺膿瘍 (Lung Abscess)
• 肺膿瘍特
...(解析預覽)...
![醫師[2] - 呼吸道感染 - AI 圖文解析預覽](/_next/image?url=https%3A%2F%2Fbgvxfcrmbdvefjhuvrmt.supabase.co%2Fstorage%2Fv1%2Fobject%2Fpublic%2Fvisual-explanations%2F182%2F6964_tbdf4624d.webp&w=3840&q=75)
升級 VIP 解鎖圖文解析