105年:專師內科
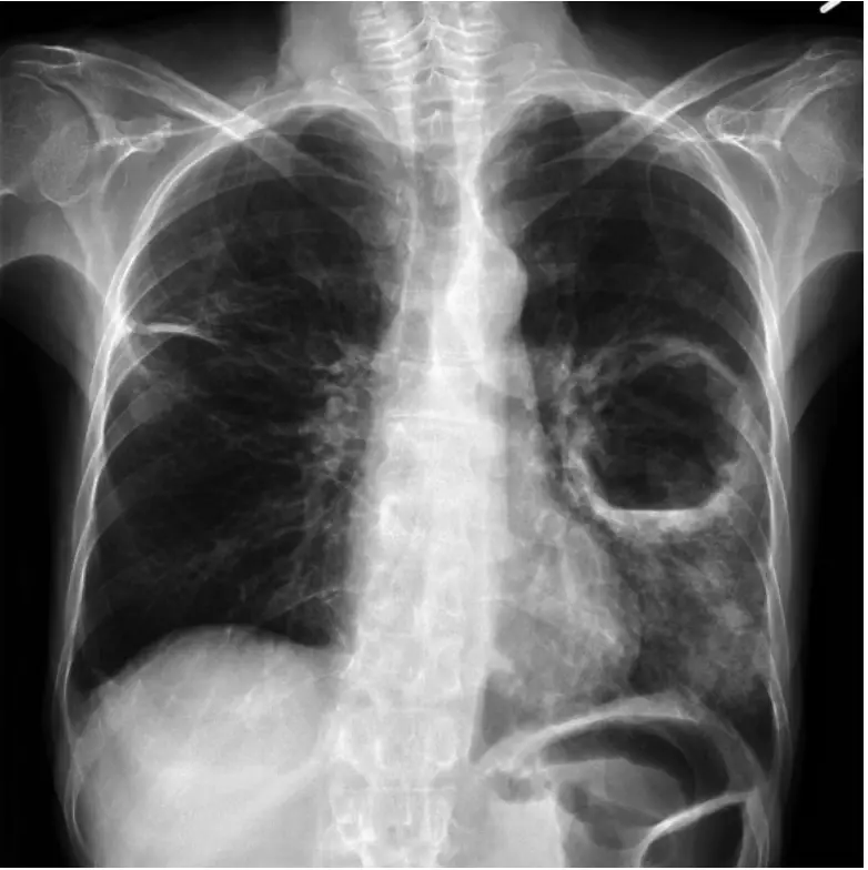
王先生 72歲,有糖尿病,此次因咳嗽、咳痰、發燒、呼吸急促,住院時胸部 X 光如圖所示,其最可能之臨床診斷為何?
A支氣管擴張症
B肺癌
C肺膿瘍
D肺氣腫
詳細解析
本題觀念
胸部 X 光「空洞併液平面」(air-fluid level) 的判讀與肺部化膿性感染之鑑別診斷。
核心概念
空洞病灶內若出現明顯液平面,表示病灶內同時存在氣體與液體。位在肺實質者稱 lung abscess;位在胸膜腔者屬 empyema。影像「空腔壁厚、周圍為肺實質浸潤」最典型的就是肺膿瘍。
選項解析
A. 支氣管擴張症
- 表現為多發、固定的支氣管擴張與支氣管壁增厚,常見條索狀、蜂巢狀陰影;不會形成單一大空洞兼液平面。
→ 故不符。
B. 肺癌
- 鱗狀上皮癌可因壞死出現空洞,但壁常厚且不規則,較少明顯水平液面,周邊多呈腫塊影。臨床常無急性發燒與黃膿痰。
→ 與題幹的急性感染症狀及典型空洞液平面不合。
C. 肺膿瘍 (正確)
- 定義:肺實質遭細菌(多為厭氧菌、Klebsiella 於糖尿病者)破壞形成含膿腔。
- 影像:圓形或橢圓形厚壁空洞,內見水平液面,外周常併局部肺炎式浸潤。
- 臨床:高齡、糖尿病、吞嚥或意識障礙→易吸入,出現高燒、咳大量惡臭膿痰、呼吸急促,與題目完全符合。
D. 肺氣腫
- 特徵為瀰漫性肺泡破壞與過度充氣,影像見透亮度增加、肺紋理減少、
...(解析預覽)...

升級 VIP 解鎖圖文解析