112年:醫學四(1)
59歲男性因為姿勢性低血壓暈倒多次,他同時還有動作遲緩、步態不穩及性功能障礙問題,他的腦部磁振造影掃描結果如下圖,下列何者為最可能的診斷?
A行為變異型額顳葉失智症( behavioral variant frontotemporal dementia )
B阿茲海默氏病( Alzheimer disease )
C多重系統萎縮症( multiple system atrophy )
D進行性上眼神經核麻痺症( progressive supranuclear palsy )
詳細解析
本題觀念
本題聚焦於多重系統萎縮症(multiple system atrophy,MSA)的典型臨床表現與影像學特徵:以自律神經功能衰竭(姿勢性低血壓、性功能障礙)、錐體下與錐體外症狀(動作遲緩、步態不穩)以及小腦與腦幹退化所導致的步態失調為關鍵,並輔以腦部MRI上「十字包子征」(hot cross bun sign)作診斷指標。
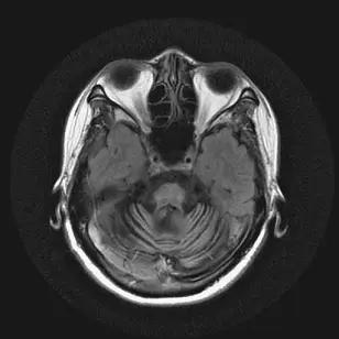
影像分析
從橫斷面T2加權影像可見:
- 橋腦中央出現明顯的十字形高訊號帶,代表橫向的橋小腦纖維選擇性退化,加上縱向皮質脊髓束保存,形成典型「十字包子征」。
- 小腦及橋腦體積具不同比例萎縮,伴隨中線結構變窄。
此影像所示的「十字包子征」最具指向MSA-C(cerebellar variant)的特徵性意義。
選項分析
-
選項A 行為變異型額顳葉失智(behavioral variant frontotemporal dementia)
主要表現為人格、行為與語言改變,影像上額葉、顳葉廣泛萎縮,並不會見到橋腦「十字包子征」,故不符臨床與影像。 -
選項B 阿茲海默氏病(Alzheimer disease)
以記憶力減退為首發,MRI顯示海馬迴及側腦室前角皮質萎縮,以顳葉及頂葉後側皮質為主;無伴隨嚴重自律神經失調或橋腦特異影像,排除。 -
選項C 多重系統萎縮症(multi
...(解析預覽)...
![醫師[2] - 失智症及退化性疾病、運動障礙 - AI 圖文解析預覽](/_next/image?url=https%3A%2F%2Fbgvxfcrmbdvefjhuvrmt.supabase.co%2Fstorage%2Fv1%2Fobject%2Fpublic%2Fvisual-explanations%2F191%2F7580_t7a4fcbe9.webp&w=3840&q=75)
升級 VIP 解鎖圖文解析