112年:醫學五(1)
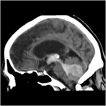
一位 68歲男性於早上被家人發現臥於床上叫不醒,枕頭與嘴邊有嘔吐物,送來急診時昏迷指數為 E1V1M4 ,血壓196/103 mmHg,心跳 72/min ,電腦斷層檢查如圖,下列敘述何者正確?
A病人來到急診時會以半側肢體無力表現
B為維持腦部血管灌流充足,不可以降血壓
C應為外傷造成的出血,應懷疑家人是否有謊報病史
D病人的高血壓、冠狀動脈心臟病病史與這次的出血有相關性
詳細解析
本題觀念:
自發性腦內出血(spontaneous intracerebral hemorrhage, ICH)最常與長期高血壓性血管病變有關;若出血位於腦幹(如橋腦),可迅速造成意識喪失及呼吸、循環中心功能障礙。
影像分析:
從非造影電腦斷層檢查(CT)軸位可見中央橋腦區密度明顯增高,呈齒狀或愛心樣形態,周圍腦組織被壓迫但未見跨向硬腦膜下或硬腦膜外的血腫,也無顱骨骨折線。本題第二張影像(矢狀面)更清楚顯示出血位於橋腦中央,並部分延伸至第四腦室,但未累及大腦半球皮質。此為典型高血壓性pontine hemorrhage,中樞橋腦出血常迅速影響呼吸與意識功能。
選項分析
-
選項A
主側肢體無力(hemiparesis)為大腦半球或內囊、基底節區出血常見表現。橋腦出血則多導致雙側長徑束(corticospinal tracts)受累,引發四肢癱瘓(quadriplegia),且往往合併意識改變和呼吸調節障礙,並非單側肢體無力,因此A錯誤 (radiopaedia.org)。 -
選項B
過去認為過度降壓或可影響腦灌流;但2022年AHA/ASA指引建議對急性ICH病人,若收縮壓
...(解析預覽)...
![醫師[2] - 腦部疾病外科 - AI 圖文解析預覽](/_next/image?url=https%3A%2F%2Fbgvxfcrmbdvefjhuvrmt.supabase.co%2Fstorage%2Fv1%2Fobject%2Fpublic%2Fvisual-explanations%2F192%2F7427_tcf17fd9e.webp&w=3840&q=75)
升級 VIP 解鎖圖文解析