111年:醫學五(2)
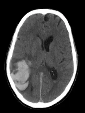
一位70歲男性,於晚飯後劇烈頭痛頭暈及噁心嘔吐,被家人送來急診,電腦斷層檢查結果如圖,下列敘述何者錯誤?

A須立即進行手術移除顱內血塊,否則會有生命危險
B可能是動靜脈畸形出血
C可能是類澱粉血管病變(amyloid angiopathy)出血
D可能是一個轉移性腫瘤出血
詳細解析
本題觀念:
這題核心在於 70 歲老人突發非外傷性腦內出血(intracerebral hemorrhage, ICH)的影像特徵、可能病因鑑別,以及手術介入時機的臨床判準。
影像分析:
非造影軸向腦部 CT 可見右頂葉皮質下區塊狀高密度病灶,密度約 80–100 HU,周邊伴隨低密度暈周水腫,並造成輕度中央結構移位。病灶位於大腦皮質與皮質下白質交界處,形狀較圓鈍、邊緣較為清楚,且位於葉狀(lobar)區域,非深部基底節或橋腦。此分布提示非典型高血壓性深部出血,應考慮其他次發性出血原因。
選項分析
- 選項A:「須立即進行手術移除顱內血塊,否則會有生命危險」
腦內出血的手術指引依據 AHA/ASA 2022 指南,對於葉狀(lobar)ICH 進行常規開顱清除術(craniotomy evacuation)並無一致證據能改善預後,建議等徵象符合:顱內壓急升、顱內血塊體積大於可增加鱗次大鼠腦疝風險(如 >30 mL 且表淺 <1 cm 皮質表面)、或出現神經學急性惡化時,才考慮微創或開顱手術(Class IIb/A)(stroke-manual.com)。本例僅表現頭痛、嘔吐
...(解析預覽)...
![醫師[2] - 腦部疾病外科 - AI 圖文解析預覽](/_next/image?url=https%3A%2F%2Fbgvxfcrmbdvefjhuvrmt.supabase.co%2Fstorage%2Fv1%2Fobject%2Fpublic%2Fvisual-explanations%2F205%2F7738_t9b187d56.webp&w=3840&q=75)
升級 VIP 解鎖圖文解析