112年:醫學五(1)
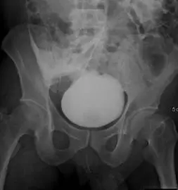
一名成年男性病人車禍後主訴下腹部疼痛和血尿,逆行性膀胱攝影檢查呈現如附圖。下列有關膀胱的初診斷何者最恰當?
Aureter rupture
Bintraperitoneal rupture of the urinary bladder
Cpseudodiverticulum of the urinary bladder
Dprostate gland hypertrophy
詳細解析
本題觀念:
膀胱破裂依據尿液或造影劑漏出位置,可分為 intraperitoneal rupture(腹內破裂)與 extraperitoneal rupture(腹外破裂)。影像學上,intraperitoneal rupture 會使對比劑散佈於腹腔,並沿腸袢及腸繫膜間隙流動;extraperitoneal rupture 則限於膀胱周圍的前縱隔或 Retzius 隙,呈現「火焰狀」或「門牙狀」的局限性外漏。Retrograde cystogram(逆行性膀胱攝影)為此類傷害的影像學黃金標準,必須以足量(約 300–350 mL)對比劑充分填充膀胱,並拍攝注射後與排空後影像以免漏診。(pmc.ncbi.nlm.nih.gov)
影像分析:
影像為逆行性膀胱攝影前導平片(AP view),可見膀胱腫脹、充滿高密度對比劑。對比劑並非僅侷限於膀胱輪廓內,而是溢散至骨盆以上,形成不規則分佈的濃度,並沿骨盆外緣及腸袢周圍分佈,呈現環繞腸袢的對比劑影—典型的 intraperitoneal contrast extravasation 表徵。未見集中於骨盆周圍之纖維囊狀或火焰狀外漏,亦不符合 pseudodiverticulum(偽
...(解析預覽)...
![醫師[2] - 外科創傷學 - AI 圖文解析預覽](/_next/image?url=https%3A%2F%2Fbgvxfcrmbdvefjhuvrmt.supabase.co%2Fstorage%2Fv1%2Fobject%2Fpublic%2Fvisual-explanations%2F192%2F7693_t59913d25.webp&w=3840&q=75)
升級 VIP 解鎖圖文解析