104年:專師內科
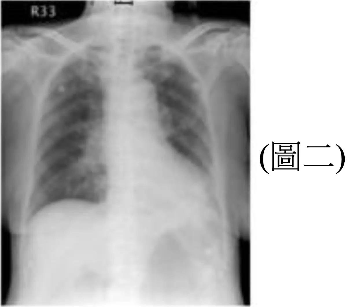
一位 82 歲女性,二天前灌食時發生嗆咳,今日因發燒、喘咳,被家屬送來醫院治療,病人神智不清,血壓90/50 mmHg,心跳130次/分,呼吸喘促,聽診肺部多痰音,來院後所照胸部X光如(圖二)、氣管及鼻胃管位置解析如(圖三),此時不宜進行何項處置?
A經週邊靜脈輸液
B經鼻胃管灌食
C施打抗生素
D抽痰
詳細解析
本題觀念
鼻胃管(Nasogastric tube, NG tube)位置辨識與併發症(誤插入氣管造成吸入性肺炎)及緊急處置優先順序。
病情摘要
• 82 歲、意識不清、低血壓 90/50、心跳 130、呼吸喘促 → 已符合敗血症及休克傾向。
• 兩天前灌食時嗆咳,今日發燒、咳喘,胸部 X 光呈右下肺大片浸潤,符合吸入性肺炎。
• 另張影像可清楚看到鼻胃管沿氣管向下,而非經食道進入胃內 → NG tube 錯置於呼吸道。此錯置正是吸入性肺炎的誘因。
選項解析
A. 經週邊靜脈輸液
• 休克病人需立刻補液維持血壓與組織灌流,屬急救措施,應該執行,故非不宜。
B. 經鼻胃管灌食
• NG tube 已證實位於氣管,若此時再灌食,必定使食物流入肺部,惡化吸入性肺炎甚至引發呼吸衰竭與呼吸道阻塞。
• 在未重新確認並調整管路(拔除後改重新放置或改以靜脈營養)前,灌食絕對禁忌。→ 正確答案(不宜執行)。
C. 施打抗生素
• 吸入性肺炎病程進展迅速,已伴發敗血症,應立即使用廣效經驗性抗生素(涵蓋厭氧菌及社區型病原),屬必要處置。
D. 抽痰
• 肺部多痰音且氣管內留置 NG tube,容易堵塞且增加分泌物,適時抽痰可促進呼吸道暢通與改善換氣,屬正確處置。
...(解析預覽)...

升級 VIP 解鎖圖文解析