114年:專師內科

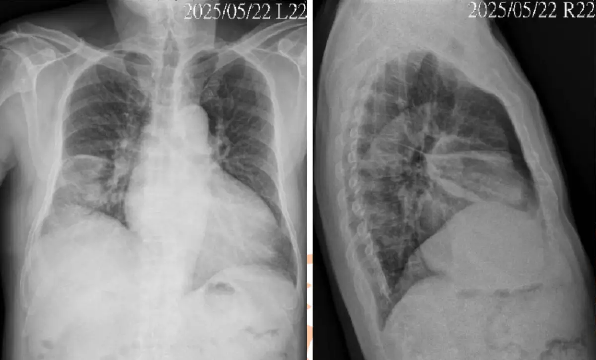
病人因咳嗽、胸悶數週求診,無發燒,聽診無喘鳴音,血壓150/88mmHg,雙腳輕度 凹陷性水腫,胸部X光如圖(六)。此病人的初步處置,下列何者最適當? 圖片描述

A檢測腫瘤指數,安排電腦斷層導引切片檢查
B痰液培養結核菌,給予抗結核藥物治療
C先給予經驗性抗生素,一週後追蹤胸部X光
D先給予利尿劑,一週後追蹤胸部X光

詳細解析

本題觀念:

本題核心在於辨識胸部X光心影增大伴肺血管上移、間質性水腫徵象,結合無發燒與輕度下肢水腫,最符合心衰竭充血型表現。急性/亞急性肺充血以利尿劑為首要處置,以緩解肺水腫及全身水腫,再以影像追蹤治療效果。

影像分析:

PA片顯示:

  • 心胸比 (cardiothoracic ratio) 明顯>0.5,提示心影增大
  • 肺門及上葉血管顯著增粗(cephalization),與重力分布相反,主動脈段與肺動脈段擴張
  • 中下肺野呈現毛玻璃狀陰影,無明顯局部實變或空洞
  • 肋膈角未見明顯鈍化,暫無明顯大量胸腔積液

側位片顯示:

  • 後縱隔結構較為模糊,符合輕度間質性水腫
  • 無脊柱旁結節或空洞,排除腫瘤或結核性空洞徵象

整體影像無典型肺炎(區域性實變)、無肺結核空洞、無惡性結節,符合肺水腫早期徵象。

選項分析

  • 選項A:檢測腫瘤指數、CT導引切片
    惡性腫瘤影像上常呈結節、腫塊或空洞,且多伴系統症狀(發燒、體重下降)。本例以心影增大、血管上移為主,無結節或空洞,臨床亦無體重下降或夜間盜汗,故不需優先考量腫瘤。

  • 選項B:痰液培養結核菌、抗結核治療
    肺結核典型表現為上肺野浸潤、空洞或鈣化淋巴結,並伴夜間盜汗、低熱、消瘦。本例無發燒、影像無空洞或纖維化條索,不符合結核診斷,不宜先行抗結核。

  • 選項C:經驗性抗生素、一週後追蹤CXR
    經驗性抗生素適用社區獲得性肺炎,表現為區域性實變、支氣管充血徵象,本例無發燒、無濃痰,且影像非肺炎型態,使用抗生素恐致抗藥性與副作用,非首選。

  • 選項D:先給予利尿劑、一週後追蹤CXR
    根據AHA/ACC/HFSA心衰竭管理指南,對有體液滯留或肺充血證據之HF患者,使用loop diuretics(如furosemide)為Class I建議,可迅速改善肺水腫及體液過多症狀,並於治療後追蹤CXR確認改善情形。

答案解析

此病人臨床呈現胸悶、乾咳數週,並有輕度雙下肢水腫與血壓偏高;CXR示心臟擴大(CTR > 0.5)、肺血管上移與間質性水腫徵象,符合subacute pulmonary edema。根據2022 AHA/ACC/HFSA Guideline for the Management of Heart Failure,對充血型心衰首要處置為利尿劑,以減輕肺部及末梢組織水腫,再於一週內重拍胸片評估影像變化,故選項D最適當。

核心知識點

  • Cardio­thoracic ratio (CTR) 評估:胸腔最大內徑與心寬比值>0.5即提示心影增大
  • Cephalization:肺靜脈壓升高導致上葉血管明顯粗大,為肺血管再分佈早期徵象
  • 間質期肺水腫:Kerley B lines、peribronchial cuffing、hazy hilum
  • 慢性/亞急性心衰表現:胸悶、乾咳、夜間陣發性呼吸困難、下肢凹陷性水腫
  • HF初步處置:loop diuretics(furosemide)為Class I,首選以緩解充血;調整劑量後並以CXR追蹤治療成效
  • 治療後監測:觀察尿量、體重變化、電解質與腎功能;利尿劑調整至達到脫水目標(每日≥0.5–1 kg體重下降)

臨床重要性

急性/亞急性心衰若不及時去除過多體液,易惡化為急性肺水腫,顯著提升住院率及死亡率。CXR為評估肺水腫與心臟負荷之重要工具,搭配利尿劑治療能快速改善症狀並降低再住院風險。