111年:(醫檢)血液(2)
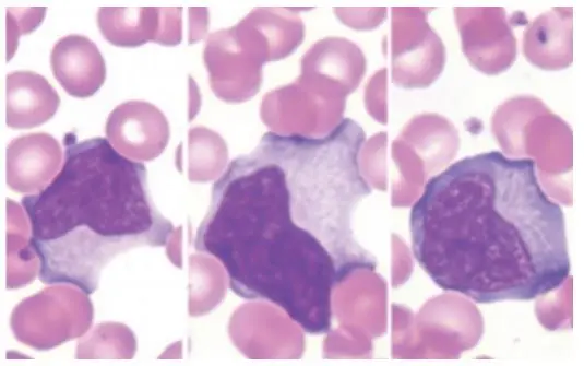
年輕病人就醫前三天出現持續性喉嚨痛、發燒及頸部淋巴腺腫大。血球檢驗顯示白血球數上升,周邊血液抹片如圖示。圖中有核細胞最可能是下列那種細胞?
A漿細胞( plasma cell )
B單核球( monocyte )
C不成熟髓細胞( myeloid cell )
D淋巴球( lymphocyte )
詳細解析
本題觀念:
此題重點在於辨識傳染性單核球症(Infectious Mononucleosis)急性期周邊血液中的「反應性淋巴球(reactive lymphocyte)」形態特徵,並與其他有核細胞(漿細胞、單核球、不成熟髓細胞)做鑑別。
影像分析:
從提供的三張血液抹片影像可見多數細胞呈現以下特徵:
- 細胞體積較正常淋巴球大,細胞質量多且呈深藍色(basophilic),邊緣不規則,常見「scalloped」或偽足狀延伸,與相鄰紅血球貼附(“hugging”現象)(researchgate.net)。
- 核染質呈成熟的濃集狀(clumped chromatin),染色質顆粒感明顯,但不如髓母細胞細緻,核質比偏低。
- 細胞核形狀不規則,但非典型髓系細胞的高核質比或漿細胞的典型特徵(如周質清區、車輪狀染色質)([researchgate.net](https://www.researchgate.net/figure/Per
...(解析預覽)...

升級 VIP 解鎖圖文解析