115年:醫學六(1)
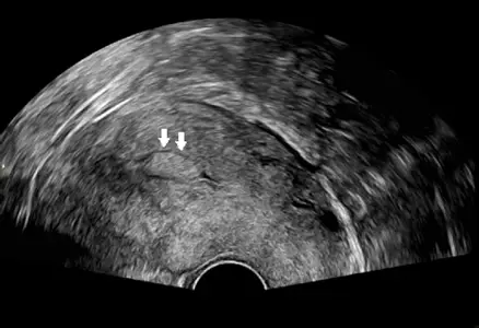
一個33歲女性來到門診,她主訴為長期有經期時間過長及間斷性子宮出血之症狀,此外她並無經血量過多或頻尿之現象, 3個月前子宮抹片檢查為正常。她的經期剛結束,經婦科超音波檢查發現如圖,下列何者是最有可能的診斷? 
A子宮頸糜爛( cervical erosion )
B子宮壁層平滑肌瘤( intramural uterine leiomyoma )
C卵巢畸胎瘤( ovarian teratoma )
D子宮內膜息肉( endometrial polyp )
詳細解析
本題觀念:
本題考查**異常子宮出血(Abnormal Uterine Bleeding, AUB)的鑑別診斷,特別是針對子宮內膜息肉(Endometrial Polyp)**的臨床表現與超音波影像特徵。根據 FIGO 的 AUB-PALM-COEIN 分類系統,結構性原因包含息肉(Polyp)、子宮肌腺症(Adenomyosis)、子宮肌瘤(Leiomyoma)與惡性腫瘤(Malignancy)。
影像分析:
- 檢查時機:題目說明檢查是在「經期剛結束」時進行。這是進行婦科超音波評估子宮內膜病灶的最佳時機(Early Proliferative Phase),因為此時正常的子宮內膜最薄,任何突出的病灶都會因為對比而被清楚顯示。
- 影像特徵:
- 這是一張**經陰道超音波(Transvaginal Ultrasound, TVUS)**的子宮矢狀切面圖(Sagittal view)。
- 影像中央可見子宮本體,箭頭所指處位於子宮腔內(Endometrial cavity)。
- 病灶呈現為一個**邊界清晰、高回音(Hyperechoic,偏亮白)**的橢圓形腫塊。
- 該腫塊位於兩層子宮內膜之間,明顯突出於子宮腔內,且周圍有一圈低回音的暈圈(可能是微量子宮腔積液或內膜介面),這是典型的子宮內膜息肉影像特徵。
- 並未觀察到子宮肌肉層(Myometrium)有明顯的低回音腫塊或陰影,故較不像是位於肌肉層內的肌瘤。
選項分析:
-
A. 子宮頸糜爛(Cervical erosion / Ectropion):
- 臨床表現:通常無症狀,或表現為性交後出血(Postcoital bleeding)、陰道分泌物增加。
- 診斷方式:主要透過**陰道窺器(Speculum)**視診診斷,而非超音波。
- 影像不符:超音波影像顯示病灶位於「子宮腔內」,而非子宮頸表面。
-
B. 子宮壁層平滑肌瘤(Intramural uterine leiomyoma):
- 位置:生長於子宮的**肌肉層(Myometrium)**內。
- 影像特徵:通常呈現**低回音(Hypoechoic)**的圓形腫塊,且常伴隨聲影(Acoustic shadowing),並可能造成子宮外觀輪廓的扭曲或整體變大。
- 臨床表現:雖可引起經血過多(Menorrhagia),但本題影像明確顯示病灶位於「腔內」且為高回音,與壁層肌瘤特徵不符。
-
C. 卵巢畸胎瘤(Ovarian teratoma):
- 位置:位於子宮旁的附屬器(Adnexa),即卵巢位置。
- 影像特徵:常見特徵包括脂肪液體分層、鈣化點或高回音的皮脂毛髮組織(Rokitansky nodule)。
- 影像不符:本題影像顯示的是子宮內部的病變,並非卵巢。
-
D. 子宮內膜息肉(Endometrial polyp):
- 臨床表現:常見症狀包括經期過長(Prolonged menstruation)與非經期出血(Intermenstrual bleeding, IMB),這與題幹中病人的主訴(長期經期時間過長及間斷性子宮出血)完全吻合。
- 影像特徵:典型的超音波表現為子宮腔內的高回音(Hyperechoic)病灶,且常保留原本的內膜輪廓。在經期剛結束、內膜變薄時最容易被發現。
- 結論:症狀與影像特徵均最支持此診斷。
答案解析
病人表現為間斷性出血及經期延長,這是子宮內膜息肉的典型症狀(屬於 AUB-P)。超音波選在經期結束後進行,影像清楚顯示子宮腔內有一個**高回音(Hyperechoic)**的團塊。相比之下,肌瘤通常較暗(低回音)且位於肌肉層;子宮頸糜爛需內診診斷;畸胎瘤位於卵巢。因此,最可能的診斷為 D. 子宮內膜息肉。
核心知識點
- 子宮內膜息肉(Endometrial Polyp):
- 成因:子宮內膜腺體與基質過度增生。
- 症狀:最常見為經期間出血(IMB),亦可造成經血量多或不孕。
- 診斷首選:經陰道超音波(TVUS),最佳時機為月經剛結束(Day 5-10),亦可搭配**生理食鹽水子宮腔超音波(SIS)或子宮鏡(Hysteroscopy)**確診。
- 惡性風險:絕大多數為良性,但停經後婦女或有症狀者惡性風險略高(約 0.5-4.8%)。
- 超音波鑑別:
- 息肉:高回音(Bright),位於腔內,常有單一血管供應(Color Doppler 可見 Pedicle artery)。
- 黏膜下肌瘤(Submucosal Myoma):低回音(Dark),由肌肉層向腔內突出,會有聲影(Shadowing)。
參考資料
- Ultrasound in the diagnosis of endometrial and intracavitary pathology, NIH/PubMed.
- ACOG Practice Bulletin No. 128: Diagnosis of Abnormal Uterine Bleeding in Reproductive-Aged Women.
- Transvaginal Sonography of the Endometrium, Radiographics.