113年:專師內科
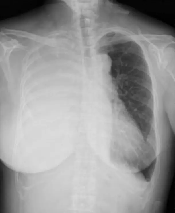
病人主訴呼吸喘及右胸痛,胸部X光檢查結果如圖 (八),下列何者是造成胸部 X 光右胸全白最可能的原因?
A右側乳房腫大
B右側肋膜腔積液
C右肺塌陷
D右肺實質化
詳細解析
本題觀念:
本題考核右胸全白(right hemithorax opacification/whiteout)在胸部 X 光的鑑別診斷,需整合臨床症狀(呼吸喘、右胸痛)與影像所見,判斷造成右胸全白的最可能原因。
影像分析
圖為正位(frontal/PA view)胸部 X 光:
- 右側胸腔呈現完全性不透明化(complete opacification of right hemithorax),整個右肺野呈現均勻白色影像。
- 縱隔(mediastinum)向左側移位:氣管可見輕微偏向左側,心臟輪廓亦向左偏移,顯示右側胸腔容積增加(volume expansion)。
- 右側肋骨間隙(intercostal spaces)略為寬闊,同樣提示右側胸腔佔位效應(mass effect)。
- 左側肺野透明度正常,未見明顯異常。
- 右側橫膈輪廓消失(obscured),肋膈角(costophrenic angle)無法辨識。
影像解讀:縱隔向對側(左側)移位 + 右胸全白,此組合最符合大量肋膜腔積液(massive pleural effusion)。若為右肺塌陷(collapse/atelectasis),縱隔應向同側(右側)移位;若為右肺實質化(consolidation),一般不會造成完全性胸腔不透明且縱隔移位不明顯。
...(解析預覽)...

升級 VIP 解鎖圖文解析