114年:醫學四(1)
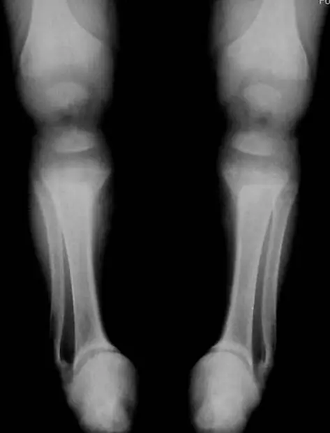
出生4個月大的早產兒,因小腸壞死長期使用靜脈營養注射,因雙側踝關節變形所照的X光影像如圖示,下列何者為最常見的診斷?

A壞血症(scurvy)
B甲狀腺機能亢進(hyperthyroidism)
C骨質骨髓炎(osteomyelitis)
D佝僂症(rickets)
詳細解析
本題觀念:
4個月大早產兒因小腸壞死長期使用全靜脈營養,罹患代謝性骨病(Metabolic bone disease),其中以佝僂症(rickets)最為常見。佝僂症係因維生素D、鈣、磷攝取或代謝異常,導致骨骼生長板礦化不良,表現在X光上為骺端擴寬、凹陷、毛邊及骨質疏鬆。
影像分析:
從雙側踝關節正位X光可見:
- Distal tibia、distal fibula的骺骨(metaphysis)呈現擴寬(splaying)及凹陷(cupping),邊緣不清,出現典型「毛邊」(fraying)改變。
- 骨骼整體顯示輕度骨質疏鬆,骨幹(diaphysis)骨密度降低。
- 病灶對稱且位於生長最活躍的部位(遠端脛骨、腓骨),符合佝僂症於快速生長區域以骺端改變最明顯的特點。 (radiopaedia.org)
選項分析
- 選項A 壞血症(scurvy)
壞血症X光骨骺常見Frankel’s white line、Trümmerfeld zone(lucent band)、Pelkan spur及皮下出血造成的半月形硬膜下骨膜增厚,並無典型骺端擴寬凹陷或毛邊改變,且多伴皮下血腫、Gingival出血。 ([med
...(解析預覽)...
![醫師[2] - 新生兒 - AI 圖文解析預覽](/_next/image?url=https%3A%2F%2Fbgvxfcrmbdvefjhuvrmt.supabase.co%2Fstorage%2Fv1%2Fobject%2Fpublic%2Fvisual-explanations%2F179%2F890_t241b68e9.webp&w=3840&q=75)
升級 VIP 解鎖圖文解析