111年:醫學六(1)
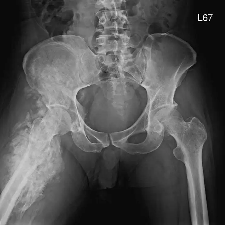
43歲男性病人, 6個月前中風合併右半側癱瘓, 4 個月前右側髖部開始腫脹,杜卜勒檢查無深層靜脈栓塞,最近的骨盆 X光片如圖,最可能的診斷為何?
A惡性骨肉瘤( osteogenic sarcoma )
B異位性骨化病( heterotopic ossification )
C惡性軟骨肉瘤( chondrosarcoma )
D結核性肉芽腫( tuberculous granuloma )
詳細解析
本題觀念:
中樞神經系統受損(如中風、脊髓損傷、顱腦外傷)後,患者常於傷後2週至12個月內在關節周圍軟組織內出現異位性骨化(heterotopic ossification, HO)。多見於髖關節,3~4個月為高風險期;早期X光難以顯影,通常3~8週可見鬆散「fluffy」或「popcorn」狀骨質,成熟期可演進為骨刺形成及髖臼與大腿骨橋接性骨化(Brooker 分級III~IV)(now.aapmr.org)。
影像分析:
正位骨盆X光片顯示:
- 右側近端股骨及對側髂骨周圍軟組織內,大片毛絨狀、鬆散透亮度偏高的新生骨化影(非原有骨骼輪廓);
- 骨化區域與骨幹分離,呈現骨刺樣投射,部分區域已有骨橋連通;
- 關節面無顯著侵蝕性破壞、無典型腫瘤破壞性裂隙,亦無環弧狀(ring-and-arc)鈣化或Codman三角;
- 無明顯經典Phemister 三合徵(周邊骨質疏鬆、邊緣侵蝕、關節腔持續狹窄),骨化主分布於軟組織。
以上影像最符合HO在中風後hemiplegia患者髖關節周圍的異位骨化特徵,成熟期可見廣泛軟組織骨化並可能導致關節僵直。
選項分析
- 選項A osteogenic sarcoma:多見於青少年
...(解析預覽)...
![醫師[2] - 腦部疾病與吞嚥復健 - AI 圖文解析預覽](/_next/image?url=https%3A%2F%2Fbgvxfcrmbdvefjhuvrmt.supabase.co%2Fstorage%2Fv1%2Fobject%2Fpublic%2Fvisual-explanations%2F201%2F8301_t2c16de1c.webp&w=3840&q=75)
升級 VIP 解鎖圖文解析