109年:醫學五(1)
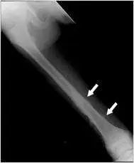
13 歲男國中生最近覺得右腳膝蓋附近偶爾隱隱作痛,且疼痛的時間越來越長,晚上睡覺時症狀也很明顯,附圖為下肢 X光攝影,最可能的診斷為何?
Afibrous dysplasia
Baneurysmal bone cyst
Costeogenic sarcoma
Deosinophilic granuloma
詳細解析
本題觀念
本題核心在骨腫瘤的放射影像鑑別診斷,特別是青少年長骨近端(膝部附近)混合性破壞性病變伴侵襲性骨膜反應時,需辨識 osteogenic sarcoma(骨肉瘤)與其他良性或低度惡性病灶(如 fibrous dysplasia、aneurysmal bone cyst、eosinophilic granuloma)之放射特徵差異。
影像分析
– X光顯示下肢長骨(應為遠端股骨或近端脛骨)骨幹處可見不規則的骨質透亮及高密度混合區,病灶邊緣模糊,骨皮質明顯隆起且新生骨呈放射狀及分層/中斷狀(aggressive periosteal reaction),部分區域可見類似 Codman 三角的骨膜抬舉,並伴有皮質破壞。
– 骨質新生分布不均,呈雲霧狀(osteoid matrix)的高密度模糊區。整體具有寬闊交界帶(wide zone of transition)與潰爛式(permeative/moth-eaten)破壞特徵,提示高度惡性病變。
選項分析
- 選項 A fibrous dysplasia
• 通常呈擴張性的 ground-glass 外觀,骨皮質薄化但邊界清楚,無骨膜反應(除非合併病理性骨折才見固態骨膜新生) ([radiologyassistant.nl](https://radiologyassistant.n
...(解析預覽)...
![醫師[2] - 骨骼腫瘤學 - AI 圖文解析預覽](/_next/image?url=https%3A%2F%2Fbgvxfcrmbdvefjhuvrmt.supabase.co%2Fstorage%2Fv1%2Fobject%2Fpublic%2Fvisual-explanations%2F217%2F16707_tf0f35eb5.webp&w=3840&q=75)
升級 VIP 解鎖圖文解析