114年:醫學五(1)
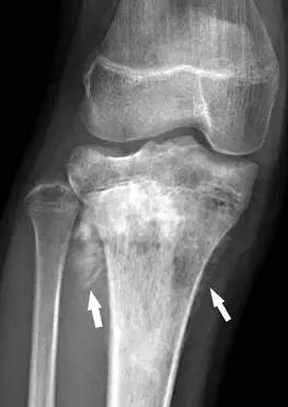
附圖是一位13歲女性脛骨骨肉瘤(osteosarcoma)的膝部X光影像,箭頭所指的影像表現是下列何者?
A遊動體(loose body)
B軟組織鈣化(soft tissue calcification)
C骨膜反應(periosteal reaction)
D骨折(fracture)
詳細解析
本題觀念:
骨肉瘤(osteosarcoma)在X光影像常見的典型表現為侵蝕性骨破壞合併多種積極型骨膜反應(aggressive periosteal reaction),其中最具特徵性的包括放射狀新骨增生(sunburst pattern)及Codman’s triangle。
影像分析:
從附圖的膝部前後投射平片可見,在脛骨近端外側皮質明顯被破壞,同時皮質外緣向外彈性撐開並生成多道細長放射狀骨痂,呈放射狀或毛髮狀(hair-on-end)排列(白色箭頭所指)。這些細長骨痂與骨幹成銳角並可延伸至軟組織邊緣,無明顯關節腔內游離體或典型軟組織鈣化的團塊狀鈣化。整體病灶呈混合性滲透性破壞,邊界模糊,符合高度惡性骨腫瘤的X光所見。
選項分析
-
選項A 遊動體(loose body)
遊動體常見於關節內軟骨或骨碎片脫落,表現為關節腔內具邊緣清晰的圓形或橢圓形鈣化影,不具放射狀或穿透性骨膜反應。本例病灶位於皮質外,呈多道細長放射狀骨痂,非游動體。 -
選項B 軟組織鈣化(soft tissue calcification)
軟組織鈣化多呈團塊狀、分布於軟組織內,與骨膜及皮質線分離。本影像新生骨質直接起自皮質並呈放射狀骨痂,應屬骨膜反應,而非孤立軟組織鈣化。 -
選項C 骨膜反應(periosteal reaction)
骨膜反
...(解析預覽)...
![醫師[2] - 骨骼腫瘤學 - AI 圖文解析預覽](/_next/image?url=https%3A%2F%2Fbgvxfcrmbdvefjhuvrmt.supabase.co%2Fstorage%2Fv1%2Fobject%2Fpublic%2Fvisual-explanations%2F180%2F773_t1bd15b30.webp&w=3840&q=75)
升級 VIP 解鎖圖文解析