113年:醫學五(1)
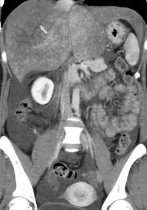
下圖為巴德–吉亞利症候群(Budd-Chiari syndrome)病人的肝臟電腦斷層影像,此疾病是指 肝臟何種結構發生阻塞?
A膽管(biliary duct)
B門靜脈(portal vein)
C肝動脈(hepatic artery)
D肝靜脈(hepatic vein)
詳細解析
本題觀念:
Budd–Chiari syndrome 為肝臟靜脈迴流受阻所造成的綜合徵。主要病理在於肝靜脈(hepatic vein)或其近端至下腔靜脈(inferior vena cava)段發生血栓或機械性阻塞,造成肝臟無法有效將血液排出,導致肝臟淤血、腫大、門脈高壓及腹水等臨床表徵。
影像分析:
從本題提供之腹部對比強化電腦斷層影像可見:
- 肝臟實質呈現不均質、高低密度混雜的「馬賽克樣(mosaic)增強」分布,反映肝臟局部灌流差異,為血流阻塞後典型表現。
- 頂端箭頭處可見預期應被含氧血填充的肝靜脈分支缺乏顯影,暗示該處靜脈內有血栓或近端受阻。
- 伴隨輕度腹水徵象,符合門脈高壓造成的滲出性腹水。
以上所見符合肝靜脈出流阻塞的特徵,與 Budd–Chiari syndrome 的典型 CT 表現相符。
選項分析
-
選項A 膽管(biliary duct)
膽管阻塞會導致膽紅素排泄不良,表現為肝膽管系統擴張、肝內外膽管呈「串珠狀」或「比目魚鱗」狀擴張,影像上多見膽管增粗及肝內膽管樹枝樣擴張,並非本題所見的血管灌注缺損現象,因此排除。 -
選項B 門靜脈(portal vein)
門靜脈阻塞(如急性門脈栓塞)影像上可見門靜脈主幹或分支缺乏顯影,並伴肝臟周邊單一區域灌注減低,且門脈高壓症狀較明顯,但不會造成肝靜脈分支缺損。本題影
...(解析預覽)...
![醫師[2] - 肝臟與門靜脈高壓外科 - AI 圖文解析預覽](/_next/image?url=https%3A%2F%2Fbgvxfcrmbdvefjhuvrmt.supabase.co%2Fstorage%2Fv1%2Fobject%2Fpublic%2Fvisual-explanations%2F184%2F7025_t1a784591.webp&w=3840&q=75)
升級 VIP 解鎖圖文解析