113年:醫學三(2)
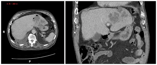
一位50歲糖尿病人主訴右上腹痛、發燒5天來醫院求診,電腦斷層圖示如附圖,下列敘述何者錯誤?
A應做血液細菌培養
B安排肝病灶抽吸
C有肝腫瘤可能
DEscherichia coli是最常見的感染細菌
詳細解析
本題觀念:
本題聚焦於「pyogenic liver abscess(細菌性肝膿瘍)」的診斷與治療原則,特別是在糖尿病高危險族群中最常見的致病菌型態及影像學特徵。
影像分析:
由雙平面對比劑增強電腦斷層(CT)可見右肝葉內有一個大小約數公分的低密度區,周邊可見均勻或不規則的環狀強化(rim enhancement)。冠狀面重組影像亦顯示肝臟深部此囊性病灶,與周邊正常肝實質形成鮮明對比。此影像特徵符合典型的pyogenic abscess:「中心液化壞死」(central necrosis)伴「周邊增強」現象,可見於增生的膿瘍壁及周圍發炎水腫區¹²。影像中未見明顯氣體積聚,亦無明顯多發性病灶或膽道擴張。
選項分析
-
選項A「應做血液細菌培養」
依循指南,所有suspected pyogenic liver abscess患者,開始抗生素前必須採集血液培養,以利準確判定菌種並調整治療。血液培養陽性率可達30–50%³;膿液與血液雙重培養則可達90%陽性率⁴,故此敘述正確。 -
選項B「安排肝病灶抽吸」
CT或超音波導引下肝膿瘍穿刺抽吸,兼具診斷(Gram stain、culture)與治療(排膿)功能。指南建議:單發性或大小>3–5 cm之膿瘍應行經皮導引抽吸或置管引流³⁵;對於體積較小者,亦可考慮以抗生素單獨保守治療。此選項屬正確。
...(解析預覽)...
![醫師[2] - 肝硬化、肝癌及其他肝疾病 - AI 圖文解析預覽](/_next/image?url=https%3A%2F%2Fbgvxfcrmbdvefjhuvrmt.supabase.co%2Fstorage%2Fv1%2Fobject%2Fpublic%2Fvisual-explanations%2F186%2F6494_tbbfe12c1.webp&w=3840&q=75)
升級 VIP 解鎖圖文解析