112年:醫學六(2)
25歲病人,車禍頭部受創一天後,左眼紅腫凸出,左邊頭側上聽診可聽見脈動雜音,合併視力快速喪失。下列關於這個病況的敘述及診斷,何者最不恰當?
A直接型頸動脈 –海綿竇瘻管( direct carotid-cavernous fistula ),以放射治療即可痊癒
B可考慮以血管攝影檢查或電腦斷層血管影像( CTA )確認診斷
C電腦斷層檢查可見上眼靜脈( superior ophthalmic vein )擴張
D可能合併顱底骨折
詳細解析
本題觀念:
本題核心在於外傷性直接型 carotid-cavernous fistula(直接型 CCF)的診斷與治療原則。直接型 CCF 為 Barrow 分類 Type A,通常因頭部外傷導致頸內動脈(ICA)流入海綿竇的高流量動靜脈短路,要立即識別並以血管內栓塞為首選治療。
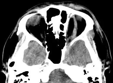
影像分析:
第一張影像為患者頭頸部非增強電腦斷層軸切面,可見左側眼球明顯前突(proptosis),伴隨左側 superior ophthalmic vein(SOV)擴張。眼眶內血管結構腫大及眼球向前推移符合高流量分流造成的靜脈回流受阻所致 SOV 擴張與眼眶組織充血(chemotic congestion)(ncbi.nlm.nih.gov)。第二張影像為數位減影血管攝影(DSA),可見頸內動脈海綿竇段(cavernous ICA)異常動靜脈連通,造影劑立即進入海綿竇及 SOV,顯示高流量、直接型 CCF 的典型徵象。
選項分析
- 選項A:直接型頸動脈–海綿竇瘻管以放射治療即可痊癒。 直接型 CCF 流量高、症狀急重,首選 endovascular embolization(可用 detachable balloons
...(解析預覽)...
![醫師[2] - 眼瞼、結膜、眼窩病變及其他眼科疾病 - AI 圖文解析預覽](/_next/image?url=https%3A%2F%2Fbgvxfcrmbdvefjhuvrmt.supabase.co%2Fstorage%2Fv1%2Fobject%2Fpublic%2Fvisual-explanations%2F197%2F7339_tdf922eca.webp&w=3840&q=75)
升級 VIP 解鎖圖文解析