113年:醫學六(2)
37歲女性病人,因左上眼瞼下垂與複視而求診,靜脈注射顯影劑磁振造影(如圖),下列何者為最可能之診斷?
A左側頸動脈海綿竇瘻管(carotid-cavernous sinus fistula)
B左側視神經鞘腦膜瘤(optic nerve sheath meningioma)
C左側鼻竇癌
D鼻咽癌併局部侵犯
詳細解析
本題觀念:
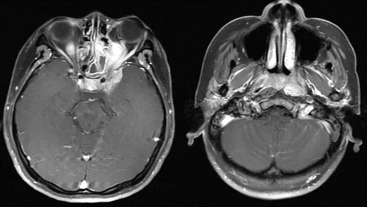
鼻咽癌(Nasopharyngeal carcinoma, NPC)經常沿顱底骨質或三叉神經走行進行侵犯,最常波及海綿竇,造成動眼、外展及三叉神經分支等顱神經麻痺。辨識MRI上NPC與其他海綿竇病變(如血管瘻、腦膜瘤)的不同特徵,是鑑別診斷的關鍵。
影像分析:
從第一張對比劑增強T1加權軸向影像可見:
• 左側海綿竇區域明顯不對稱增大
• 內部呈不均勻實質性強化,包繞左內頸動脈,無典型“flow void”信號
從第二張較低層次影像:
• 左側鼻咽頂及咽後壁同側出現同質性增強病灶
• 病灶沿顱底向上延伸,可見骨質微破壞及傍顳肌群失神經萎縮現象
整體符合一個由鼻咽區起始,經顱底直接侵襲及鞘狀(perineural)擴散至海綿竇的腫瘤過程。
選項分析
- 選項A 左側頸動脈海綿竇瘻管(carotid-cavernous sinus fistula)
MRI特徵包括上眼靜脈顯著擴張(>3.5 mm)、海綿竇及眼眶內可見flow void信號,臨床有突眼、結膜充血、脈動性雜音等表現;本例無血管竇內flow void或靜脈擴張,且影像呈實質性增強,排除此項(pubmed.ncbi.nlm.nih.gov)
...(解析預覽)...
![醫師[2] - 眼瞼、結膜、眼窩病變及其他眼科疾病 - AI 圖文解析預覽](/_next/image?url=https%3A%2F%2Fbgvxfcrmbdvefjhuvrmt.supabase.co%2Fstorage%2Fv1%2Fobject%2Fpublic%2Fvisual-explanations%2F189%2F6682_t2d10e661.webp&w=3840&q=75)
升級 VIP 解鎖圖文解析