111年:醫學四(1)
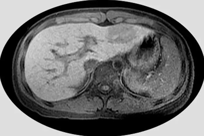
5歲男童因超音波篩檢發現腹部腫瘤,磁振造影 T1 加權影像如圖示,則該腫瘤位於何處?
A肝臟左外節
B肝臟左內節
C肝臟右前節
D脾臟內
詳細解析
本題觀念
Couinaud 肝段分類與 T1 加權 MRI 肝臟解剖定位。利用肝臟固有解剖標誌(如 ligamentum teres 裂隙、middle hepatic vein、gallbladder fossa 等),可將肝臟分為左右兩側再進一步分段。
影像分析
從所示 axial T1 加權影像可觀察到:
- 正常肝實質呈中等信號強度,較脾臟高;脾臟相對低信號。
- 影像前內側可見一條暗線,對應 ligamentum teres 裂隙(fissure for ligamentum teres),為左內葉(medial segment)與左外葉(lateral segment)之界線。
- 腫瘤位於此暗線(裂隙)之外側,鄰近前腹壁,信號與肝臟實質相近,並不在脾臟所在之區域。
裂隙外側即為左外葉(segments II 和 III),裂隙內側為左內葉(segment IV)。本例腫瘤位於裂隙之外側,屬左外葉範圍。
選項分析
-
選項 A 肝臟左外節(left lateral segment)
左外節(segments II, III)位於 ligamentum teres 裂隙外側。本例病灶即出現在裂隙之外側的左肝,符合左外葉分佈。 -
選項 B 肝臟左內節(left medial segment)
...(解析預覽)...
![醫師[2] - 血液及腫瘤疾病 - AI 圖文解析預覽](/_next/image?url=https%3A%2F%2Fbgvxfcrmbdvefjhuvrmt.supabase.co%2Fstorage%2Fv1%2Fobject%2Fpublic%2Fvisual-explanations%2F199%2F8341_t17730834.webp&w=3840&q=75)
升級 VIP 解鎖圖文解析