110年:醫學五(1)
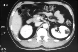
45歲女性病人接受年度健康檢查,發現左腎腫瘤,下圖為注射對比劑之腎臟電腦斷層攝影( computed tomography of kidneys ),最可能之診斷為何?
Arenal cell carcinoma
Brenal lymphoma
Crenal urothelial carcinoma
Drenal angiomyolipoma
詳細解析
本題觀念
對於腎臟腫瘤,電腦斷層(CT)上「腫瘤內度量值為負值(negative attenuation)之脂肪成分」幾乎是診斷angiomyolipoma(AML)的關鍵。本題重點在於如何利用CT影像上的組織密度差異,分辨含脂性良性腫瘤與其他惡性腎腫瘤。
影像分析
在題示對比劑增強CT冠狀切面影像中,左腎下極可見一圓形、邊界清楚之腫塊,於腫塊內有數處非常低密度區(呈黑色),這些區域在Hounsfield單位上應小於–10 HU,符合macroscopic fat的影像特徵;增強期可見周邊及基質成分輕度增強,未見廣泛壞死或鈣化。這種「腫瘤內可直接看到脂肪」的影像表現,與典型的angiomyolipoma極為吻合 (radiologica.org)。
選項分析
- 選項A renal cell carcinoma
• 清晰細胞型RCC(clear-cell RCC)常呈高血管性,增強期大幅度強化;非增強CT上腫瘤密度約在20~40 HU左右,且極少含macroscopic fat,因此CT不會出現明顯負值脂肪區塊 ([ajronline.org](https://www.aj
...(解析預覽)...
![醫師[2] - 泌尿腫瘤 - AI 圖文解析預覽](/_next/image?url=https%3A%2F%2Fbgvxfcrmbdvefjhuvrmt.supabase.co%2Fstorage%2Fv1%2Fobject%2Fpublic%2Fvisual-explanations%2F209%2F8941_t215d5c3f.webp&w=3840&q=75)
升級 VIP 解鎖圖文解析