110年:醫學六(1)
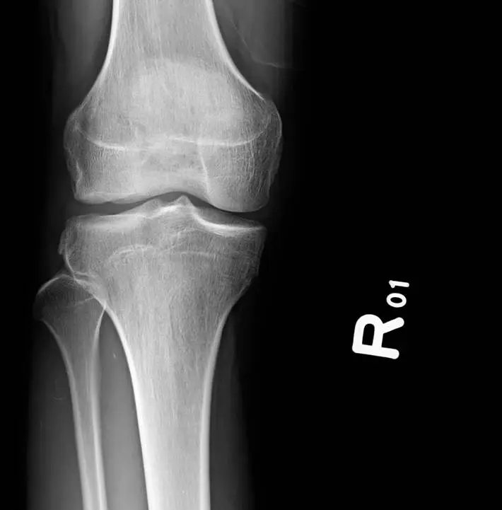
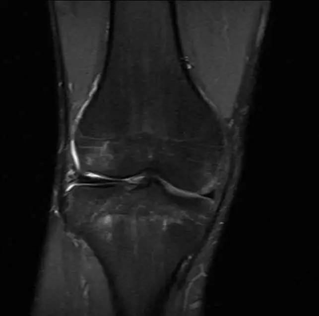
20歲男性病患膝關節受傷,接受膝部 X 光及磁振造影檢查如圖,下列何者診斷為錯誤?
A病人有 anterior cruciate ligament tear
B病人有 bone contusion
C病人有 lateral meniscal tear
DX光可看到 Segond fracture
詳細解析
本題觀念
聚焦於膝關節外傷後的 X 光與 MRI 影像診斷,包括:
- Segond fracture(外側脛骨平台微小 avulsion 骨折)
- ACL (anterior cruciate ligament) 撕裂
- Bone contusion (骨震盪/骨挫傷)
- Meniscal tear (半月板撕裂)
影像分析
-
X 光片(前後位)
外側脛骨平台可見一彎曲的細小骨片平行於平台緣,符合 Segond fracture(lateral capsular sign)的典型表現 (radiopaedia.org)。 -
MRI 矢狀面 T2 fat-sat 加重像
ACL 呈現纖維中斷、不連續,近端纖維信號增高,遠端過度彎曲 (buckling),為 ACL 完全撕裂的典型影像學徵象 (pmc.ncbi.nlm.nih.gov)。 -
MRI 冠狀面 T2 fat-sat (或 STIR) 加重像
於
...(解析預覽)...
![醫師[2] - 軟組織損傷與神經壓迫復健 - AI 圖文解析預覽](/_next/image?url=https%3A%2F%2Fbgvxfcrmbdvefjhuvrmt.supabase.co%2Fstorage%2Fv1%2Fobject%2Fpublic%2Fvisual-explanations%2F210%2F8919_tdacebe6c.webp&w=3840&q=75)
升級 VIP 解鎖圖文解析