114年:醫學五(2)

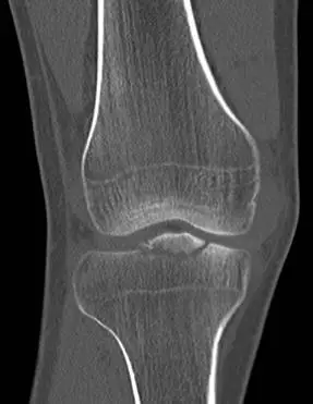
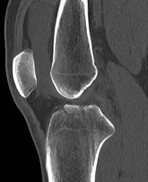
20歲男性病人因打球摔傷,膝部疼痛接受電腦斷層檢查,發現脛骨近端有骨折如圖。最可能合併下列何者傷害? 圖片描述 圖片描述

A前十字韌帶( anterior cruciate ligament )
B後十字韌帶( posterior cruciate ligament )
C內側副韌帶( medial collateral ligament )
D臏韌帶( patellar ligament )

詳細解析

本題觀念:

此題核心在於認識「Tibial eminence fracture(脛骨脊骨折)」即是前十字韌帶(ACL)於脛骨脊附著處之骨骼撕脫,為兒童與青少年特有的ACL等價損傷。

影像分析:

• 由矢狀面CT可見近端脛骨內、外側平台之間出現一塊線性骨片向前方偏移,骨片與平台底部仍以細小纖維連續,呈現典型的骨脊撕脫片段。
• 冠狀面CT顯示該撕脫片位於脛骨平台中央、略微向前凸出,並與髁間區保持一鉸鏈樣連接。
• 無明顯平台塌陷或關節面大範圍粉碎,提示為關節內骨折但屬撕脫型態。

選項分析

  • 選項A 前十字韌帶( ACL )
    影像即為ACL在其脛骨附著點——脛骨脊(tibial spine)處的骨撕脫。青少年因韌帶強度大於骨骼未完全骨化之部位,常於此處出現撕脫而非韌帶斷裂,稱ACL等價損傷 (posna.org, learningradiology.com)。

  • 選項B 後十字韌帶( PCL )
    PCL附著於脛骨後部之後髁間區,撕脫骨折應見於髕股關節後方,與本影像中前方脛骨脊骨片不符。

  • 選項C 內側副韌帶( MCL )
    MCL起自股內髁,止於脛骨脛骨粗隆,位置在關節線下方偏內側的近端脛骨外側,並非髁間區脛骨脊。

  • 選項D 髕韌帶( Patellar ligament )
    Patellar ligament止於脛骨粗隆,位於髕骨下方粗隆處與本案例中髁間嵴起始部位相距甚遠,不符合撕脫位置。

答案解析

本例為典型Tibial eminence avulsion fracture,專屬於ACL在脛骨脊附著處之骨撕脫。青少年運動傷害以韌帶附著處骨骼未完全骨化而先行撕脫最為常見。CT影像顯示中央部骨片向前偏移,正好吻合ACL撕脫機制;其他韌帶附著位置與本影像不符,故最佳選擇為前十字韌帶(ACL)合併損傷。

臨床重要性

Tibial eminence fracture若未即時辨識並妥善復位,可能遺留ACL鬆弛或關節面不平,導致慢性前翻及早期退化。年輕運動員若出現踝以下關節痛、伸直受限,應高度懷疑此類骨脊撕脫;必要時採CT或MRI進一步評估,同時評估ACL完整度與合併軟組織傷害,並依Meyers & McKeever分類決定保守 versus 手術治療。