110年:醫學五(2)
有關下圖的敘述,下列何者錯誤?
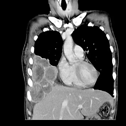
A為有靜脈注射含碘顯影劑之冠狀重組之電腦斷層攝影圖
B有呈現心室中隔
C有呈現下行主動脈
D右下胸有腫塊,有呈現肝靜脈
詳細解析
本題觀念:
本題考驗冠狀重組CT影像下,對心血管結構(心室中隔、主動脈)、肝臟血管及病灶之辨識。
影像分析:
從冠狀重組CT上,可見:
- 心臟位於胸腔中央偏上,左右心室輪廓分明,心室中隔界線清楚可辨。
- 兩肺呈低密度影,右側下肺野有一不規則、高於肺組織的軟組織密度團塊(疑似腫塊)。
- 影像中下方為橫膈膜,橫膈膜下顯示肝實質,肝內可見數條放射狀、連接肝臟中心的大血管(肝靜脈)。
- 胸椎旁典型的下行主動脈(環狀高密度管狀影)在本圖並未明顯顯示。
選項分析
-
選項A 為「有靜脈注射含碘顯影劑之冠狀重組之電腦斷層攝影圖」。
影像中血管及肝靜脈皆呈高密度,符合靜脈注射顯影劑後的表現;此外切面乃從前到後的冠狀重建影像,符合描述 (quizgecko.com)。 -
選項B 「有呈現心室中隔」。
冠狀面CT可直接觀察左右心室分界的中隔線影,本圖中心心室中隔清晰可見 ([digital-health-scholars.github.io](https://digital-health-scholars.github.io/gha-public/regions/thorax?utm_source=op
...(解析預覽)...
![醫師[2] - 下肢與軸性骨折 - AI 圖文解析預覽](/_next/image?url=https%3A%2F%2Fbgvxfcrmbdvefjhuvrmt.supabase.co%2Fstorage%2Fv1%2Fobject%2Fpublic%2Fvisual-explanations%2F213%2F8811_t7e600079.webp&w=3840&q=75)
升級 VIP 解鎖圖文解析