109年:醫學三(1)
一位 75 歲女性,平常健康狀況良好,但是近三個月感到食慾不振,疲乏無力,下背疼痛。理學檢查呈現臉色與結膜蒼白,無肝脾腫大。實驗室數據顯示:白血球 5,310/μL,分類無異常。血紅素 7.8 g/dL ,血小板171,000/μL 。肝功能正常, serum creatinine 是3.4 mg/dL 。腰部脊椎之影像檢查呈現嚴重塌陷。其骨髓抹片顯示如下圖。以下關於這位病人最可能的疾病之診斷與治療,何者錯誤?
A此疾病好發於老人
B診斷之後,立即給與高劑量的靜脈輸注化學治療是目前標準的治療方法
C即使血液中測量不到 monoclonal protein ,也不能排除此病
Dlenalidomide 、steroid 與bortezomib 是治療此病的有效處方
詳細解析
本題觀念
本題核心在於辨識多發性骨髓瘤(multiple myeloma, MM)的臨床表現、診斷方式(含非分泌性型態)、以及針對不同病人體質/年齡層的治療策略與標準。
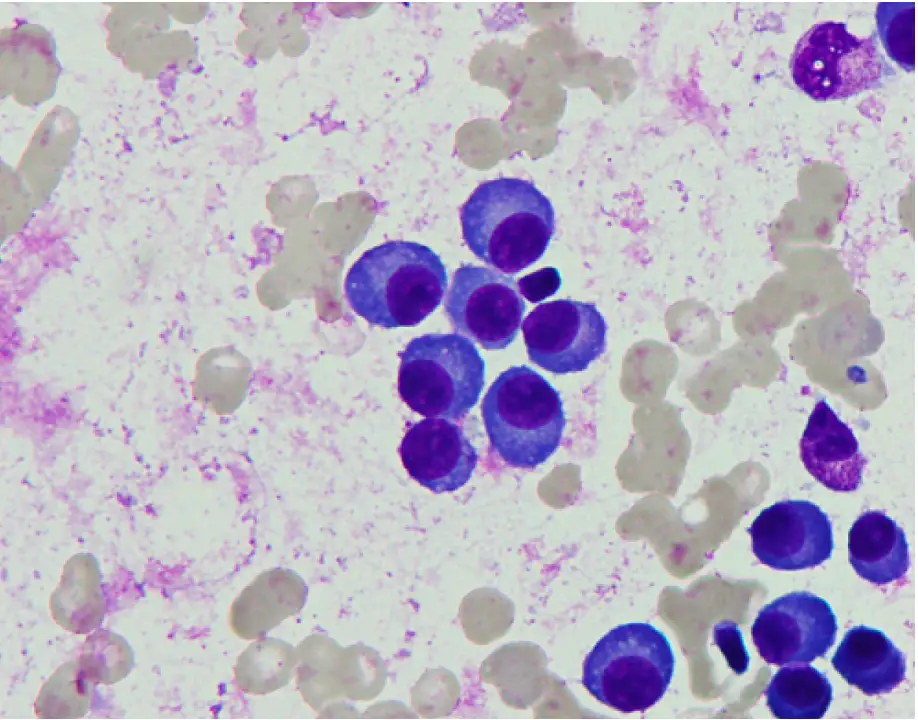
影像分析
從骨髓抹片圖可見:
- 骨髓內充滿大量形態相似的漿細胞(plasma cells),胞核偏心,異染質凝集成團,胞質呈淡藍色,近核處有明顯的perinuclear hof(Golgi區)。
- 細胞大小不一,但多數N/C比高,顯示克隆性增生。
上述所見符合多發性骨髓瘤中骨髓漿細胞惡性增生的形態特徵,對應患者有嚴重貧血、骨質破壞及腎功能受損的臨床表現。
選項分析
-
選項A 「此疾病好發於老人」
多發性骨髓瘤平均發生年齡約65歲以上,老人患病比例極高,僅不到5%病人年齡<40歲。此敘述正確。(multiplemyelomahub.com) -
選項B 「診斷之後,立即給與高劑量的靜脈輸注化學治療是目前標準的治療方法」
標準初治並非診斷後馬上進行高劑量化療(high-dose IV chem
...(解析預覽)...
![醫師[2] - 貧血及紅血球疾病 - AI 圖文解析預覽](/_next/image?url=https%3A%2F%2Fbgvxfcrmbdvefjhuvrmt.supabase.co%2Fstorage%2Fv1%2Fobject%2Fpublic%2Fvisual-explanations%2F215%2F16510_te20f3ed5.webp&w=3840&q=75)
升級 VIP 解鎖圖文解析