109年:醫學四(1)
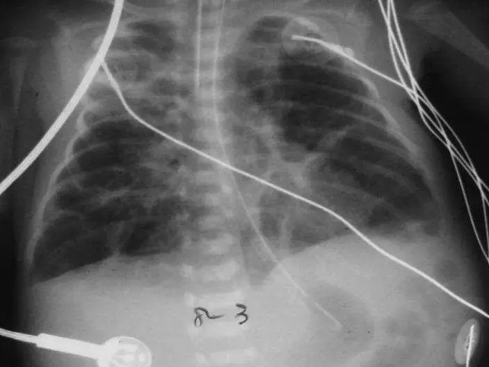
下圖為一孩童之胸部 X光素片,最可能的診斷為:
A肺隔離症( pulmonary sequestration )
B氣胸( pneumothorax )
C大葉性肺炎( lobar pneumonia )
D肺支氣管發育不良( bronchopulmonary dysplasia )
詳細解析
本題觀念
此題核心在於辨識新生兒/早產兒因長期機械通氣及高濃度氧氣治療所致的慢性肺損傷—Bronchopulmonary Dysplasia(BPD),並與其他胸部 X 光常見病灶(如肺隔離症、氣胸、大葉性肺炎)做鑑別。
影像分析
從此孩童正位胸部 X 光片可觀察到:
- 雙側肺野呈現非均質性的網狀(reticular)及粗大支氣管紋理增粗影,夾雜多處圓形或不規則之相對透明區。
- 肺野輕度過度膨脹(hyperinflation),肋膈角鈍化且橫膈略呈平坦。
- 無明顯單側實質塌陷或實質性大片致密影,也不見典型的空氣支氣管徵。
- 無游離空氣徵象,如肺外空氣或皮下氣腫。
- 影像中可見多條導管,暗示嬰兒曾接受長期呼吸支持。
這些特徵符合慢性肺損傷晚期(Stage IV)時期常見的「網狀纖維化+局部囊狀腔室」及「過度充氣」表現(radiopaedia.org)。
選項分析
- 選項 A 肺隔離症(pulmonary sequestration)
• 肺隔離症在胸部 X 光多呈現一局限性實質性陰影或類囊腫影,且有時可看到主動脈旁異常血管陰影(f
...(解析預覽)...
![醫師[2] - 胸腔疾病 - AI 圖文解析預覽](/_next/image?url=https%3A%2F%2Fbgvxfcrmbdvefjhuvrmt.supabase.co%2Fstorage%2Fv1%2Fobject%2Fpublic%2Fvisual-explanations%2F216%2F16627_t0249986c.webp&w=3840&q=75)
升級 VIP 解鎖圖文解析