109年:醫學六(2)
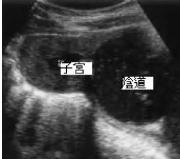
15歲女性,第二性徵發育正常,但未有初經並有週期性腹痛,超音波如圖所示,下列處置何者最不適當?
A手術治療
B黃體素催經( progesterone challenge test )
C腎臟攝影術( intravenous pyelography )
D詳細內診診查( pelvic examination )
詳細解析
本題觀念:
青春期少女若已具第二性徵、卻遲遲未行初經而合併週期性腹痛,最常見原因並非內分泌失調,而是「生殖道出口阻塞」造成經血無法排出,典型病灶為 imperforate hymen 或 transverse vaginal septum。影像與骨盆診察能快速確立診斷;治療以手術解除阻塞為主,並須評估伴隨的泌尿系統畸形。對此類病例再行 progesterone challenge test 無臨床意義。
影像分析:
超音波可見子宮前方呈中等回聲的實質構造,後方緊鄰一個邊界清楚、內含無回聲液體的大囊性腔室,標示為「陰道」。該腔室明顯擴張,符合大量積血(hematocolpos)或合併 hematometra 影像。子宮壁與內膜層結構完整,排除子宮缺如或發育不全。整體圖像典型指向 hymenal 或陰道遠端阻塞所致的經血滯留。(pubmed.ncbi.nlm.nih.gov)
選項分析
- 選項A 手術治療
對 imperforate hymen 或 transverse vaginal septum,標準處置為切開/切除阻塞膜或隔板以引流積血,並預防反覆疼痛、感染與後續 endometriosis。屬正確處置。([pubme
...(解析預覽)...
![醫師[2] - 卵巢良性病變與先天異常 - AI 圖文解析預覽](/_next/image?url=https%3A%2F%2Fbgvxfcrmbdvefjhuvrmt.supabase.co%2Fstorage%2Fv1%2Fobject%2Fpublic%2Fvisual-explanations%2F224%2F17067_t0e686172.webp&w=3840&q=75)
升級 VIP 解鎖圖文解析