113年:(醫檢)血液(2)
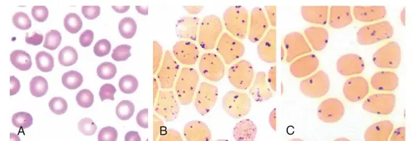
周邊血液抹片如圖。病人為圖A(Wright氏染色)與圖B(超活體染色),對照組為圖C(超活體染色)。下列敘述何者錯誤?
A與不穩定血色素相關
B與G6PD缺乏症相關
C與變性血色素(denatured hemoglobin)相關
D與Cooley氏貧血相關
詳細解析
本題觀念:
本題考核海因茲小體(Heinz body)的形成機制及其相關疾病。Heinz body 是紅血球內變性血色素(denatured hemoglobin)的沉積物,黏附於紅血球內膜,在超活體染色(supravital stain)下清晰可見,但在 Wright 氏染色下不易辨識。本題為反向題,要求找出不與 Heinz body 相關的疾病。
影像分析:
圖 A(Wright 氏染色):可見正常形態的紅血球,細胞呈圓形、中央淡染,無法觀察到 Heinz body,因為 Wright 染色無法顯示此類包涵體。
圖 B(超活體染色,病人):紅血球內可見多個深藍色顆粒狀包涵體,緊貼紅血球內膜分布,數量明顯多於對照組,即為 Heinz body 的典型表現。
圖 C(超活體染色,對照組):少量正常紅血球亦可見極少數細小藍色顆粒,為正常對照,可對比病人組的明顯差異。
圖示清楚呈現:同一組紅血球在 Wright 染色(圖A)無法看出異常,而超活體染色(圖B vs 圖C)則能顯著區分出 Heinz body 的存在,印證了 Heinz body 需以特殊染色才能確認的診斷原則。
選項分析
本題為反向題(何者錯誤),需找出與 Heinz body 不相關的選項。
✅ **(A) 與不穩定血色素
...(解析預覽)...

升級 VIP 解鎖圖文解析