112年:(醫檢)血液(1)
如圖箭號所指的血球, 其型態上的異常,最符合下列何者?
APelger-Huët anomaly
BMay-Hegglin anomaly
CLazy leukocyte
DAlder-Reilly anomaly
詳細解析
本題觀念:
本題考察白血球核分葉(segmentation)異常的形態學鑑別,重點在辨識Neutrophil的低分葉(hyposegmentation)異常,並與其他罕見白血球異常(如May–Hegglin、Alder–Reilly、lazy leukocyte)做區別。
影像分析:
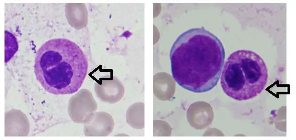
從提供的周邊血塗片中可見多個嗜中性球,其核形態顯著偏少分葉:
- Arrow所指的兩個嗜中性球皆呈現雙葉(bilobed)或「啤酒啤」(pince-nez)狀核,核間以細狹連絲相連,染色質緻密而粗糙。
- 細胞質保持成熟無毒性顆粒(toxic granulation)或Döhle小體,背景紅血球大小和形態正常。
此種核分葉不全但染色質凝集的特徵,符合Pelger–Huët異常中「核不正常分葉」的典型表現。
選項分析
- 選項A Pelger–Huët anomaly
原發性Pelger–Huët為先天性遺傳(AD)LBR基因突變,異常表現為嗜中性球核完全或部分缺乏正常3–5節分葉,呈現雙葉或單葉(homozygote時)形態,染色質偏緻密/粗糙但無功能障礙。臨床多為偶然發現,無明顯感染傾向;在鏡檢上即為題圖所示形態([my.clevelandclinic.org](https://my.clevelandclinic.org/health/dise
...(解析預覽)...

升級 VIP 解鎖圖文解析