111年:(醫檢)血液(1)
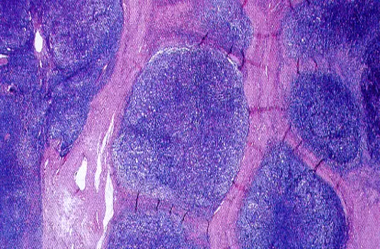
下列那一型的 Hodgkin lymphoma 具有如圖的淋巴結病理組織結構?
ALymphocyte rich type
BLymphocyte depleted type
CMixed cellularity type
DNodular sclerosis type
詳細解析
本題觀念:
本題核心在於辨識 Hodgkin lymphoma 的四種經典亞型(classic Hodgkin lymphoma subtypes)之病理組織學特徵,特別是 Nodular sclerosis 型所具備的結節狀纖維化(collagen bands)及 lacunar cell(凹窩細胞)現象。
影像分析:
從提供的 H&E 染色淋巴結切片可見:
- 淋巴結皮質及皮質下被清晰的粉紅色纖維束分隔成多個大小不一的圓形結節(nodular architecture),纖維束呈厚實並可見 birefringent 特性,顯示活躍的結締組織增生。
- 在各結節間、結節中央可見細胞群聚,細胞質留有「空泡狀凹窩」(lacuna-like space),其中蘊含 Reed–Sternberg variants,即 lacunar cells。
- 未見散在巨量炎性細胞以 eosinophil、neutrophil 為主的混雜背景,也無全片廣泛弥漫性纖維化,顯示為結節狀、局部性的纖維化病灶。
這些影像特徵符合 Nodular sclerosis Hodgkin lymphoma(NSCHL)的典型組織學表現。
選項分析
- 選項A Lymphocyte rich type
主要以大量小淋巴細胞為主,Reed–Sternberg cells 稀
...(解析預覽)...

升級 VIP 解鎖圖文解析