115年:醫學六(1)
63歲男性病人因左側耳朵悶悶的不適,到耳鼻喉科看診,根據所附兩張MRI影像判斷,下列何者為最可能的診斷? 
A細菌性中耳炎
B淋巴瘤
C鼻咽癌
D中耳的珍珠瘤
詳細解析
本題觀念:
單側中耳積水 (Unilateral Otitis Media with Effusion, OME) 在成年人(特別是華人男性)是鼻咽癌 (Nasopharyngeal Carcinoma, NPC) 的典型且重要的早期徵兆。 此題考查的是臨床醫師對於「成人單側耳悶」的警覺性,以及判讀頭頸部 MRI 基本解剖構造(特別是鼻咽部與乳突氣房)的能力。
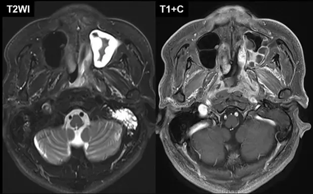
影像分析:
本題提供兩張 MRI 影像,分別為 T2WI (左圖) 與 T1+C (右圖,打藥後):
-
左圖 (T2WI - 橫切面):
- 左側乳突氣房 (Left Mastoid Air Cells):呈現高訊號 (亮白色)。正常的乳突氣房應充滿空氣,呈現黑色 (signal void)。此處的高訊號代表內部充滿液體,即乳突積液 (Mastoid effusion) 或中耳積水。
- 左側上頷竇 (Left Maxillary Sinus):前方可見左側上頷竇也呈現極高訊號,顯示有鼻竇炎或液體滯留(這在 NPC 病人中常見,因腫瘤可能阻塞鼻道或耳咽管開口附近的淋巴引流,但非絕對特異)。
- 鼻咽部 (Nasopharynx):左側鼻咽壁相較於右側顯得飽滿、不對稱。
-
右圖 (T1+C - 橫切面,顯影劑增強):
- 左側鼻咽部 (Left Nasopharynx):在左側 Fossa of Rosenmüller (羅氏窩/側隱窩) 區域,可見一個明顯的顯影軟組織腫塊 (Enhancing soft tissue mass)。
- 解剖關聯:此腫塊的位置剛好位於耳咽管 (Eustachian tube) 開口的後上方。腫塊壓迫或阻塞了耳咽管,導致中耳通氣不良,負壓產生並引發液體滲出,進而形成左圖所見的乳突/中耳積水。
- 對比右側:右側的 Fossa of Rosenmüller 結構清晰,呈現正常的凹陷狀。
綜合判斷:左側鼻咽腫塊 + 左側中耳/乳突積水 = 典型鼻咽癌表現。
選項分析
- A. 細菌性中耳炎 (Bacterial Otitis Media):
- 通常表現為急性耳痛、發燒。影像上雖會有中耳積液,但不會在鼻咽部看到實質性的強化腫塊。此選項無法解釋鼻咽部的病灶。
- B. 淋巴瘤 (Lymphoma):
- 鼻咽部的淋巴瘤通常表現為雙側對稱、體積較大且均質的腫塊,常瀰漫性侵犯 Waldeyer's ring。雖然淋巴瘤也可能造成阻塞,但 NPC 在流行病學(台灣為高盛行區)及特定解剖位置(源自 Fossa of Rosenmüller)的特徵上更為吻合。
- C. 鼻咽癌 (Nasopharyngeal Carcinoma, NPC):
- 正確答案。
- 臨床表現:63歲男性,左耳悶塞感(單側中耳積水症狀)。這是 NPC 非常經典的早期症狀,約有 30-40% 的患者以此為初發表現。
- 影像特徵:MRI 顯示腫瘤位於好發部位 (Fossa of Rosenmüller),並伴隨同側乳突積水 (Mastoid effusion)。這完全符合 NPC 的診斷。
- D. 中耳的珍珠瘤 (Cholesteatoma of Middle Ear):
- 珍珠瘤是位於中耳腔或乳突內的角質化上皮囊腫。MRI 的典型表現是在 DWI (擴散權重影像) 上呈現高訊號 (限制擴散),且在 T1+C 上不會有中央顯影 (Non-enhancing)。
- 本題的病灶中心位於鼻咽部而非中耳,且該腫塊有顯影,故排除中耳珍珠瘤。中耳的訊號異常純粹是積水造成的次發性變化。
答案解析
病人為中老年男性,主訴單側耳悶。MRI 顯示左側鼻咽部(羅氏窩)有強化腫塊,並導致左側乳突氣房積水。這是鼻咽癌阻塞耳咽管的典型表現。在台灣,鼻咽癌是頭頸部最常見的惡性腫瘤之一,任何成人單側中耳積水都必須優先透過鼻咽內視鏡或影像檢查排除 NPC。
核心知識點
- Red Flag: 成人(尤其是單側)不明原因的中耳積水/漿液性中耳炎 (Serous Otitis Media) 必須排除鼻咽癌。
- 解剖位置: 鼻咽癌最常好發於 Fossa of Rosenmüller (羅氏窩)。
- MRI 判讀重點:
- T2WI 高訊號 在乳突/中耳 = 積水 (Effusion)。
- T1+C 強化腫塊 在鼻咽側壁 = 腫瘤本體。
- 確認兩者之因果關係 (腫瘤阻塞耳咽管 積水)。
參考資料
- AJR Am J Roentgenol. 2003;181:203-209. (MRI of Nasopharyngeal Carcinoma)
- RadioGraphics 2011;31:549-569. (Nasopharyngeal Carcinoma: Recognition and Staging)
- 台灣家庭醫學醫學會 - 鼻咽癌的早期診斷與篩檢。