113年:內專

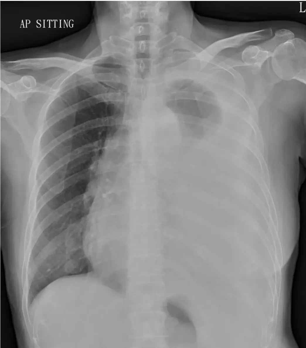
林女士65歲,無糖尿病病史,因為呼吸急促至急診就醫,胸部X光如圖所示,經胸腔穿刺 (Thoracentesis)抽取肋膜積液緩解症狀,肋膜積液檢驗顯示:RBC 4000/uL, Total nucleated cells 340/uL, lymphocyte predominant, total protein 4.9 g/dL, LDH 254 U/L (normal range 140~271 U/L), Glucose 100 mg/dL, 造成林女士的肋膜積液的原因最不可能為下列何者? 圖片描述

A肺癌。
B惡性間皮細胞瘤。
C淋巴癌。
D結核性肋膜炎。
E膿胸。

詳細解析

本題觀念:

本題重點在於運用胸腔穿刺後的胸腔積液分析(Light's criteria 及細胞差異分析),判斷滲出液的特性並結合細胞型態(淋巴球或中性球主導)與其他指標(glucose、LDH)推估可能病因。

影像分析:

胸部正面坐位(AP sitting)X 光片顯示左側半胸腔廣泛不透光,邊緣呈現積液弧形鐮狀(meniscus sign),左側肋膈角銳利消失,並可能有輕度心肺中線(mediastinum)向右移位現象,符合大量左側肋膜積液影像表現。

選項分析

  • 選項A:肺癌(Lung cancer) 肺癌常併發惡性胸腔積液,Fluid Analysis 多為滲出性,Pleural fluid protein/serum protein ratio >0.5、LDH ratio >0.6,且常呈現細胞(尤其是腫瘤細胞及淋巴球)增多,淋巴球差異可達 50–70%,符合本例淋巴球優勢(lymphocyte predominant)特性,故為可能原因之一 (emedicine.medscape.com, aafp.org)。

  • 選項B:惡性間皮細胞瘤(Malignant mesothelioma) Mesothelioma 亦屬惡性胸膜腫瘤,常伴隨血性或淋巴球為主的滲出性積液,Pleural fluid LDH 與 protein 均升高,glucose 常正常或略降,不具特異性,仍與本例檢驗吻合 (emedicine.medscape.com, shc.amegroups.org)。

  • 選項C:淋巴癌(Lymphoma) 胸膜侵犯或淋巴系統疾病亦可造成淋巴球主導的滲出性積液,淋巴球佔比可超過 50%,且glucose、LDH 水準與惡性積液相似,本例數值並不排除此可能 (emedicine.medscape.com, shc.amegroups.org)。

  • 選項D:結核性肋膜炎(Tuberculous pleuritis) 結核性胸膜炎典型呈現滲出性積液,淋巴球為主(>50% 屬淋巴球優勢,>90% 高度提示 TB 或淋巴癌),pleural fluid protein 高、LDH 中度升高(通常<1000 U/L),glucose 多介於60–100 mg/dL 之間,完全符合本例 (emedicine.medscape.com, aafp.org)。

  • 選項E:膿胸(Empyema) Empyema 屬於化膿性胸腔感染,胸腔液常為膿性或混濁,pH <7.2,glucose <60 mg/dL,LDH 常 >1,000 U/L,白血球數(以中性球為主)在早期發炎階段通常 >50,000/μL,且 cell differential 以中性球(PMN)優勢(>50%)為主。臨床注意:在 frank empyema 晚期,因細胞自溶(autolysis),白血球計數反而可降至極低(<200/μL),此時需依靠外觀(膿性)、pH、glucose 及 LDH 診斷,而非依賴細胞計數。本例細胞總數僅 340/μL 且淋巴球佔多數、glucose 正常、LDH 未超過 1,000 U/L,均與膿胸典型特徵不符,亦無膿性外觀的臨床描述,因此最不可能為膿胸所致 (emedicine.medscape.com, ncbi.nlm.nih.gov/books/NBK534297/)。

答案解析

林女士胸部X光明顯顯示左側大量滲出性積液,胸腔穿刺後液體符合 Light's criteria 中的滲出性特徵:total protein 4.9 g/dL(高於轉移性閾值)、LDH 254 U/L(接近上限但仍屬滲出性判準),細胞差異以淋巴球佔優勢,glucose 正常。常見淋巴球主導的滲出液病因包含惡性腫瘤(肺癌、mesothelioma、淋巴癌)及結核性胸膜炎。膿胸則典型呈現中性球優勢、低pH/低glucose、高LDH 的化膿性表現,與本例實驗數值完全不符,故選項E 為最不可能原因。

臨床重要性

透過胸腔穿刺液分析能迅速分辨滲出液或漏出液並根據細胞差異、glucose、LDH 等判定可能病因,進而指引後續影像檢查(如CT、胸膜活檢)、微生物學檢驗(TB PCR、細菌培養)或腫瘤標本採檢,對於早期診斷及治療策略選擇至關緊要。