107年:內專
31歲女性,無症狀,健康檢查胸部X光如圖所示,安排電腦斷層如圖所示,最可能之診斷為何?
ASarcoidosis
BLymphoma
CLung cancer
DEsophageal cancer
EBronchogenic cyst
詳細解析
本題觀念:
本題考察胸部影像(胸部X光與電腦斷層)對縱膈與肺門淋巴結腫大的鑑別診斷,特別是肉芽腫性疾病(如Sarcoidosis)與淋巴瘤、惡性腫瘤或先天性囊腫的影像特徵差異。
影像分析:
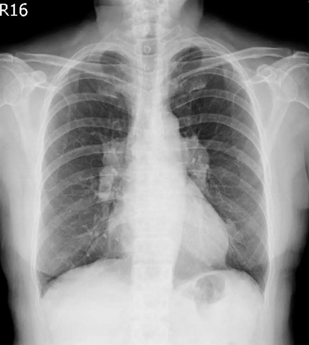
- 胸部X光(直立後前位):
- 雙側肺門(hilar)明顯腫大,形態對稱,未見明顯肺野浸潤或局部實變。
- 右側上縱隔亦可見輕度腫大。
- 無肋間隙擴張或其他累及肺野的廣泛浸潤影。
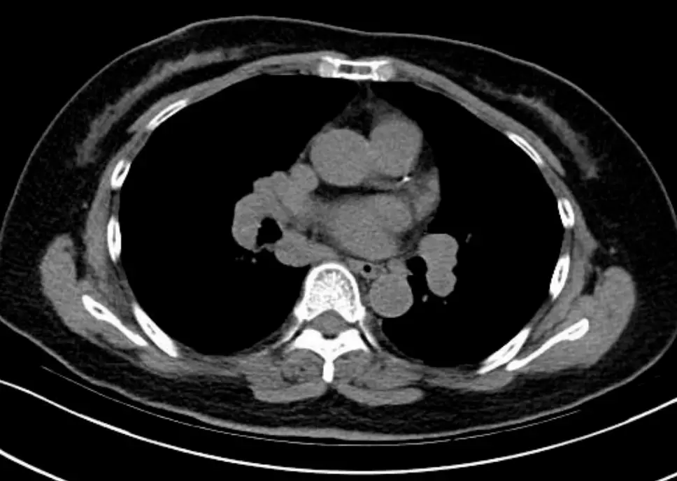
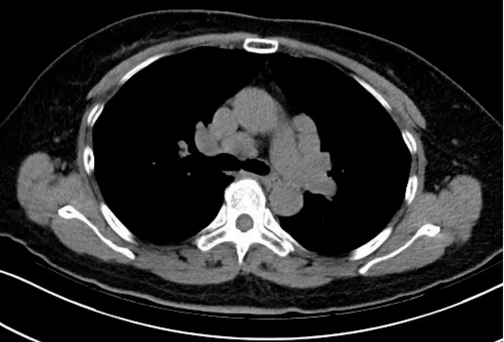
- CT橫截面影像(上段、中央):
- 在肺門及縱隔區域,淋巴結明顯腫大,形態規則、邊界完整、密度均質,無中央壞死或環形增強。
- 肺實質可見多發性微小結節,沿支氣管血管束分佈(peribronchovascular distribution),並可見部分結節沿間質(interlobular septa)與胸膜下區域延伸,呈現「經淋巴路徑分佈」(perilymphatic)特徵。
- 無單一實質腫塊、無大範圍實變或空洞。
上述對稱性雙側肺門與右側縱隔淋巴結腫大,合併肺野小結節沿支氣管血管束與胸膜下區域呈節結狀,極符合Sarcoidosis的典型影像特徵。
選項分析
- 選項A Sarcoidosis
• 影像特徵:對稱性雙側肺門及縱隔淋巴結腫大,肺野小結節呈perilymphatic分佈(沿支氣
...(解析預覽)...

升級 VIP 解鎖圖文解析