113年:內專

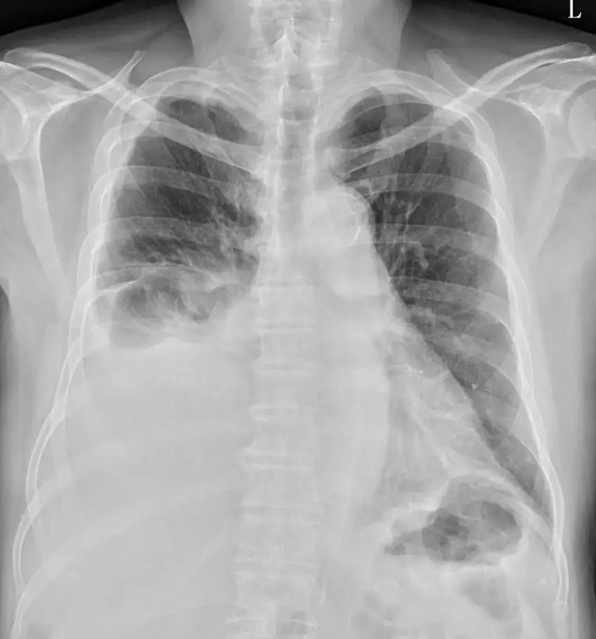
78歲男性,因咳嗽10天來門診就診。X光如附圖,右側肋膜積水抽出來顏色為黃色。其中total nucleated cells 1467/L,lymphocyte 87%,neutrophil 2%,mesothelial cell and histiocyte 11%,LDH 179 U/L,total protein 5.1 g/dL,pH 7.35,glucose 122 mg/dL,adenosine deaminae (ADA) 34 U/L,acid-fast染色: negative。請問關於接下來的處置,下列何者最不合適? 圖片描述

A可安排電腦斷層檢查,排除肺部腫瘤的可能性。
B可考慮進行胸腔超音波檢查做肋膜切片。
C可考慮照會胸腔外科以影像輔助胸腔鏡手術的方式進行肋膜切片。
D此胸水檢驗數值為膿胸(empyema),應直接執行胸管置放引流。
E可進行細胞學檢查,評估malignant pleural effusion的可能性。

詳細解析

本題觀念

本題為一位 78 歲男性,右側肋膜積水,胸水檢查結果如下:

指標數值意義
Total nucleated cells1467/L低細胞數
Lymphocyte87%淋巴球為主(>50%)
Neutrophil2%極低,不符合化膿性感染
LDH179 U/L輕度上升
Total protein5.1 g/dL符合滲出液(Exudate)
pH7.35正常(未偏酸)
Glucose122 mg/dL正常偏高
ADA34 U/L邊界值(TB 閾值 >40 U/L)
AFB stain陰性不能排除 TB(敏感度低)

診斷分析:
此胸水為滲出液(exudate),以淋巴球為主(87%),且 pH 正常、葡萄糖正常、LDH 僅輕微上升。鑑別診斷首要考慮惡性腫瘤(malignancy)結核性肋膜炎(tuberculous pleurisy)

膿胸(empyema)的診斷標準需符合以下任一:

  • pH < 7.2
  • Glucose < 60 mg/dL(或 < 3.4 mmol/L)
  • LDH > 1000 U/L
  • 膿性外觀或培養/塗片陽性
  • 中性球(neutrophil)為主

本例完全不符合膿胸標準:pH 7.35(正常)、Glucose 122 mg/dL(正常)、LDH 179 U/L(低)、淋巴球 87%(非中性球為主)。因此「此胸水為膿胸,應直接置放胸管引流」是錯誤診斷與不當處置


選項分析

(A) 可安排電腦斷層檢查,排除肺部腫瘤的可能性
適合。78 歲老人、淋巴球為主的滲出液,惡性腫瘤是重要鑑別診斷。CT 可偵測肺部腫塊、肋膜增厚或結節,輔助診斷。

(B) 可考慮進行胸腔超音波檢查做肋膜切片
適合。超音波引導下肋膜切片(closed pleural biopsy)適用於不明原因滲出液,尤其懷疑 TB 或惡性腫瘤。

(C) 可考慮照會胸腔外科以影像輔助胸腔鏡手術(VATS)的方式進行肋膜切片
適合。VATS 是診斷不明原因滲出液的金標準,診斷率可達 90–95%,適用於細胞學陰性或反覆抽水仍未確診的病例。

(D) 此胸水檢驗數值為膿胸(empyema),應直接執行胸管置放引流
最不合適(正確答案)。本例胸水為淋巴球為主的滲出液,pH、glucose、LDH 均正常,完全不符合膿胸診斷標準。誤診為膿胸並執行胸管引流既無必要,亦可能延誤正確診斷(TB、惡性腫瘤)。

(E) 可進行細胞學檢查,評估 malignant pleural effusion 的可能性
適合。胸水細胞學(cytology)是診斷惡性肋膜積水的重要初步工具,敏感度約 60–90%,為標準處置之一。


關鍵知識點

  1. 膿胸(Empyema)診斷三要素:pH < 7.2、Glucose < 60 mg/dL、LDH > 1000 U/L,加上中性球為主 → 本例完全不符合。

  2. 淋巴球為主滲出液(Lymphocyte-predominant exudate)鑑別診斷

    • 惡性腫瘤(Malignancy)— 最常見於老年人
    • 結核性肋膜炎(Tuberculous pleuritis)— AFB 陰性不能排除
    • 淋巴瘤、類風濕性關節炎、乳糜胸等
  3. ADA 判讀

    • 40 U/L:高度懷疑 TB(敏感度 90–100%,特異度 85–95%)

    • 本例 ADA = 34 U/L(邊界值),不能完全排除 TB,需結合臨床綜合判斷
  4. AFB 塗片陰性 ≠ 排除結核:結核性肋膜炎的胸水 AFB 塗片敏感度僅約 10–40%,陰性不排除診斷。

  5. 不明原因滲出液處置流程:胸水分析 → CT 胸部 → 細胞學 → 超音波引導切片 → 若仍未確診考慮 VATS。