107年:內專
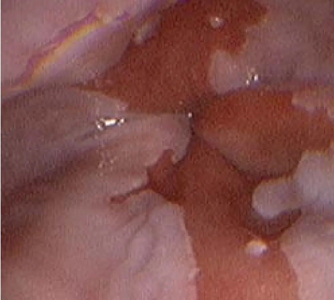
60歲肥胖男性有長期胸口灼熱病史,接受上消化道內視鏡檢查,結果其食道下端之變化如圖所示,此病人每年發生食道癌之機會為?
A01~0.03%
B1~0.3%
C6~1%
D1~3%
E3~5%
詳細解析
本題觀念
本題核心在於辨識Barrett’s esophagus(下食道腸化生)及其進展為食道腺癌的年風險評估。Barrett’s esophagus因長期GERD造成鱗狀上皮被類腸柱狀上皮取代,屬癌前病變,無異型(nondysplastic)的情況下每年約有0.2–0.5%的機會進展為食道腺癌。
影像分析
用內視鏡檢視食道下端,可見正常的灰白色鱗狀上皮被鮭紅色的柱狀上皮取代,且延伸超過胃食道交界面(Z-line)向近端,邊緣不規則、片狀分布。此鮭紅色黏膜區塊即為Barrett’s esophagus的典型視覺表徵,代表特殊腸化生(specialized intestinal metaplasia)。
選項分析
- 選項A (0.01~0.03%)
與文獻報告NDBE進展風險(約0.19–0.33%/年)相差甚遠,過低。 (pubmed.ncbi.nlm.nih.gov) - 選項B (1~0.3%)
若依照常見考題排版,此應為0.1~0.3%,符合大規模系統性回顧發現的0.33%(95% CI 0.28–0.38%)年風險。 ([pubmed.ncbi.nlm.nih.gov](http
...(解析預覽)...

升級 VIP 解鎖圖文解析