114年:醫學五(1)
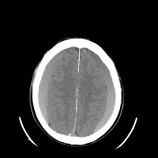
78歲女性,主訴一週以來步態不穩且頭痛。未注射顯影劑的頭部電腦斷層影像如圖,最可能的診斷為何?
Abilateral subarachnoid hemorrhage
Bbilateral meningioma
Cbilateral subacute epidural hematoma
Dbilateral subacute subdural hematoma
詳細解析
本題觀念:
本題核心在於鑑別各型態顱內外血腫及其他外軸病灶於非造影電腦斷層(CT)上的典型影像特徵,並結合病程時間(急性、亞急性、慢性)與形態(鐮型crescent、透鏡型lens)判讀,以區分subdural hematoma、epidural hematoma、subarachnoid hemorrhage與extra‐axial腫瘤。
影像分析:
CT影像可見雙側大腦半球頂蓋區緊貼腦表面之扁平crescent形異常濃度影,並沿半球凸面廣泛分布,呈現與皮質灰質相似或略低之同質密度;左右兩側均有,且可見影像跨越縫線下方而達對側(未受縫線限局)。未見典型經硬膜骨板下之lens狀凸起,亦無基底池或腦溝之血腫跡象。此影像符合亞急性期(約3–14天)subdural hematoma之同質iso‐dense或輕度低密度特徵,且形狀crescent、可跨縫線,並非lens狀或佔據腦溝,排除epidural hematoma及subarachnoid hemorrhage。此外,缺乏任何明顯的腫塊邊緣及硬腦膜尾(manifest dural tail),亦不支持meningioma。
(亞急性subdural在CT上常呈isodense,易與皮質混雜,需留意「內向凹陷之CSF點」等線索) ([meddean.luc.edu](https://www.meddean.lu
...(解析預覽)...
![醫師[2] - 脊髓疾病與水腦症 - AI 圖文解析預覽](/_next/image?url=https%3A%2F%2Fbgvxfcrmbdvefjhuvrmt.supabase.co%2Fstorage%2Fv1%2Fobject%2Fpublic%2Fvisual-explanations%2F180%2F774_t7ad2651a.webp&w=3840&q=75)
升級 VIP 解鎖圖文解析