113年:醫學三(2)
有關心臟核子醫學心肌灌注掃描SPECT的描述,何者錯誤?
A壓力測試核子醫學心肌灌注掃描(SPECT)常用於冠狀動脈疾病評估
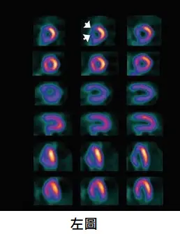
B附圖(左)核子醫學心肌灌注掃描(SPECT)呈現可逆的心肌灌注缺損,暗示心肌有缺血
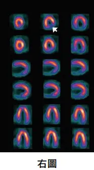
C附圖(右)核子醫學心肌灌注掃描(SPECT)則呈現固定的灌注缺損,通常反映陳舊性心肌梗塞
D核子醫學心肌灌注掃描(SPECT)與電腦斷層冠狀動脈造影相比,對於冠狀動脈疾病的診斷更加敏感,尤其 是在多支血管疾病的情況下
詳細解析
本題觀念:
心肌灌注掃描(SPECT)乃以放射性核子顯像劑評估心肌血流,透過比較工作負荷(Stress)與靜息(Rest)時之灌注影像,可區分「可逆性缺損」與「固定性缺損」,分別代表心肌缺血與陳舊性梗塞。此外,與 CTA(Computed Tomography Coronary Angiography,電腦斷層冠狀動脈造影)比較時,SPECT 屬生理功能檢查,CTA 屬解剖學檢查,兩者在敏感度與特異度上各有優劣。
影像分析:
• 左圖:由上至下依序為短軸(short axis)、水平長軸(horizontal long axis)、垂直長軸(vertical long axis)切面;箭頭處在工作負荷時可見心尖部或前壁明顯低放射性信號,相較於靜息期(可能為下方幾列影像)該區灌注恢復正常。此為「可逆性灌注缺損」,提示心肌在負荷下缺血。
• 右圖:同樣為三種切面列示;箭頭指示區域在工作負荷與靜息影像中均維持低放射性信號,無明顯改善,符合「固定性灌注缺損」,常反映心肌已有不可逆壞死(陳舊性心肌梗塞)。
選項分析
-
選項A
壓力測試搭配 SPECT 心肌灌注掃描應用廣泛,為非侵入性評估冠狀動脈疾病(CAD)之主要工具之一。工作負荷或藥物性壓力測試後,評估缺血分布與嚴重度。此為正確描述。 -
選項B
如左圖所示,箭頭處灌注缺損於工作負荷
...(解析預覽)...
![醫師[2] - 冠狀動脈疾病 - AI 圖文解析預覽](/_next/image?url=https%3A%2F%2Fbgvxfcrmbdvefjhuvrmt.supabase.co%2Fstorage%2Fv1%2Fobject%2Fpublic%2Fvisual-explanations%2F186%2F6488_t2bf3c80a.webp&w=3840&q=75)
升級 VIP 解鎖圖文解析