111年:醫學三(2)
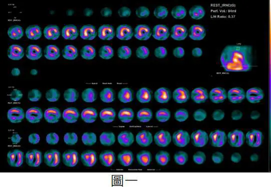
59歲男性,過去有冠狀動脈疾病開過繞道手術,最近6個月運動時胸悶加劇、喘,就診時發現心電圖有新的變化,因此心臟科醫師安排了靜態核醫心肌灌流單光子造影(MPI-SPECT)(圖一)及¹⁸F-FDG正子掃描(PET)(圖二),下列敘述何者錯誤?

A在左心室側壁的心肌灌流缺損多為休眠的心肌,可以考慮積極進行血管再通治療
B左心室前壁大部分是瘢痕心肌,血管再通治療效果不佳
C左心室下壁混和有瘢痕與休眠心肌,血管再通治療效果可能較全為存活心肌處略差
D左心室心尖混和有瘢痕與休眠心肌,血管再通治療效果可能較全為存活心肌處略差
詳細解析
本題觀念:
本題考核心肌灌流單光子造影(myocardial perfusion imaging-SPECT, MPI-SPECT)合併 ¹⁸F-FDG 正子掃描(PET)進行心肌存活性評估的判讀原則,以及不同影像型態對血管再通(revascularization)療效的臨床預測意義。這是核醫心臟學的核心主題,直接影響冠狀動脈疾病(coronary artery disease, CAD)合併左心室功能不全患者的治療決策。
影像分析:
本題提供兩張影像:
圖一:靜態 MPI-SPECT(心肌灌流) MPI-SPECT 以放射性示蹤劑(如 ⁹⁹ᵐTc-MIBI 或 ²⁰¹Tl)評估心肌血流灌流狀態。灌流正常區域顯影熱(攝取高),灌流缺損區域顯影冷(攝取低或缺失)。本題病患有繞道手術(CABG)病史,且心電圖有新變化,預期灌流影像可見多區域缺損。
圖二:¹⁸F-FDG PET(心肌代謝/存活性) ¹⁸F-FDG(fluorodeoxyglucose)是葡萄糖類似物,被心肌細胞攝取後代表細胞仍有存活的代謝活動。FDG-PET 與 SPECT 灌流影像的對照判讀可區分三種型態:
三種關鍵判讀型態:
| 型態 | SPECT 灌流 | FDG-PET 代謝 | 心肌狀態 | 血管再通反應 | |------|-----------|-
...(解析預覽)...
![醫師[2] - 冠狀動脈疾病 - AI 圖文解析預覽](/_next/image?url=https%3A%2F%2Fbgvxfcrmbdvefjhuvrmt.supabase.co%2Fstorage%2Fv1%2Fobject%2Fpublic%2Fvisual-explanations%2F203%2F7759_te87abda4.webp&w=3840&q=75)
升級 VIP 解鎖圖文解析