112年:醫學三(2)
27歲男性病人與好友熬夜玩電玩,翌日清晨突然倒地急救,經 119 EMT 施行心肺復甦術, 30 分內送抵急診,中間多次 VT/VF並施行 DC shock ,到院後 CPCR 共 50 分及電擊 5 次,除了急救藥物使用之外,並在 50 分鐘內找心臟外科醫師放置葉克膜。病況穩定後進行身體檢查,體溫 35.4°C 、 HR : 80/min 、 RR : 20/min 、 BP : 125/68mmHg,聽診呈現心尖及 lower left sternal border ( LLSB )有 grade 3/6 systolic murmur 。緊急冠狀動脈血管攝影顯示無冠狀動脈狹窄或血栓阻塞。心電圖跟心臟超音波如附圖所示。下列何者敘述錯誤?
A這位病人的診斷是肥厚型心肌症( hypertrophic cardiomyopathy )
B因惡性心律不整可能復發,應考慮植入式心律去顫器﹙ implantable cardioverter defibrillator, ICD ﹚的置入
C如果病人左心室出口阻塞的症狀嚴重,可以考慮心導管酒精消融( alcohol ablation )或是外科手術,要是還 是無法改善,可以考慮換心
D除了考慮乙型交感神經阻斷劑( beta blocker ),鈣離子阻斷劑( calcium channel blocker )等,還要增加利尿 劑的使用量,避免心臟衰竭
詳細解析
本題觀念
本題核心在於辨識一位年輕男性於非典型誘因下發生心室頻脈/心室顫動 (VT/VF) 猝倒,急救後在冠狀動脈無明顯病變情況下,進一步診斷與治療考量,反映「Hypertrophic Cardiomyopathy (HCM)」診斷標準、影像與心電圖特徵,以及其合併惡性心律不整的次級預防(ICD 植入)與動態左心室流出道阻塞 (LVOTO) 疏解策略。
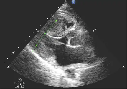
影像分析
-
心電圖 (ECG) 特徵
- 左心室肥厚高電壓:Sokolow‐Lyon 指標陽性,V1 深 S 波疊加 V5/V6 大 R 波(總和 > 35 mm)
- 側壁(I、aVL)及前胸導程(V5–V6)病理性 Q 波
- T 波倒置,尤以前壁導程更明顯
以上 ECG 所示符合 HCM 的典型表現,深 Q 波與高電壓反映不對稱性心肌肥厚,可作為篩檢依據。
-
超音波影像
- 二維心臟超音波可見心室中膈明顯增厚,厚度可達 15 mm 以上,與後壁比例懸殊,呈非對稱肥厚。
- 左心室流出道區域見狹窄,可能伴隨收縮期前移的二尖瓣前瓣瓣膜 (SAM)
- 心尖與 LLSB 區域收縮期雜音 (grade 3/6),符合動態 LVOTO 臨床表徵。
以上 echo 所示即屬典型阻塞型 HCM 變異。
選項分析
...(解析預覽)...
![醫師[2] - 冠狀動脈疾病 - AI 圖文解析預覽](/_next/image?url=https%3A%2F%2Fbgvxfcrmbdvefjhuvrmt.supabase.co%2Fstorage%2Fv1%2Fobject%2Fpublic%2Fvisual-explanations%2F194%2F7117_t78f88852.webp&w=3840&q=75)
升級 VIP 解鎖圖文解析