111年:醫學四(2)
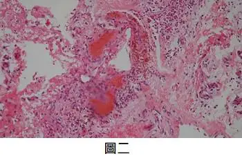
60 歲的女性,病患自述約一週前在下唇出現一個直徑約 1公分、無痛、暗紫色、有彈性的丘疹(如圖一所示),並否認有外傷的情況。經切片手術之病理檢查如附圖二。下列何者為最可能的診斷?
A皮膚纖維瘤( dermatofibroma )
B靜脈湖( venous lake )
C黑色素瘤( melanoma )
D色素性基底細胞癌( pigmented basal cell carcinoma )
詳細解析
本題觀念
老年患者下唇出現無痛、紫藍色、可壓消色的丘疹,病理呈真皮層中多重擴張血管腔,應識別為良性血管擴張性病變—venous lake。
影像分析
第1張圖(臨床照):
- 部位:下唇vermillion border
- 病灶:約1 cm直徑,紫藍色丘疹,表面光滑,質地柔軟,對稱邊界分明,無潰瘍或出血。
- 臨床意義:紫藍色提示血管或含血性病變;柔軟可壓暗示血管內血流變化,可壓消色(diascopy)有助診斷血管病變。
第2張圖(H&E低倍病理):
- 真皮層見多個大小不一之擴張血管樣腔隙,腔內充盈红血球。
- 血管壁由單層扁平內皮細胞構成,無惡性細胞增生、無stromal retraction或腫瘤細胞核異形。
- 病理意義:典型血管擴張(vascular ectasia),非瘤細胞增生,符合venous lake。
選項分析
- 選項A 皮膚纖維瘤(dermatofibroma)
- 臨床:常見於四肢,質硬且有「凹陷徵」(Fitzpatrick’s sign),非柔軟可壓之紫藍色丘疹。
- 病理:真皮纖維母細胞storiform排列、collagen trapping,缺乏大腔膨脹血管 ([en.wikipedia.org](https://en.wikipedia.org/wiki/Dermatofib
...(解析預覽)...
![醫師[2] - 腫瘤 - AI 圖文解析預覽](/_next/image?url=https%3A%2F%2Fbgvxfcrmbdvefjhuvrmt.supabase.co%2Fstorage%2Fv1%2Fobject%2Fpublic%2Fvisual-explanations%2F204%2F7870_t4d591419.webp&w=3840&q=75)
升級 VIP 解鎖圖文解析