109年:醫學四(2)
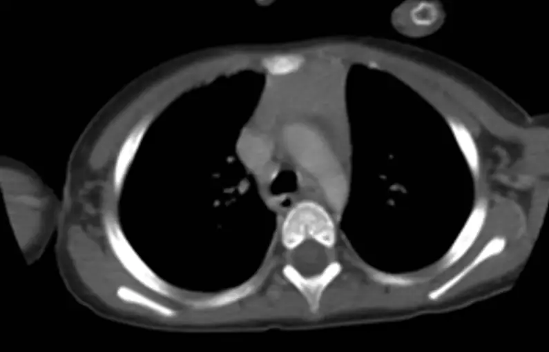
2歲女童因咳嗽就醫,由於胸部 X 光顯示縱膈腔變寬,因此在接受對比劑注射後,接受電腦斷層掃描檢查如圖,在主動脈弓之前可見明顯軟組織,其最常見原因為何?
A胸腺
B淋巴瘤
C淋巴管瘤
D血管瘤
詳細解析
本題觀念:
小兒前縱膈腔(anterior superior mediastinum/prevascular compartment)常見的軟組織密度結構是正常胸腺(Thymus),其在胸部 X 光及 CT 上的影像特徵必須與病理性病灶(如 lymphoma、lymphangioma、hemangioma 等)加以鑑別。
影像分析:
- 影像顯示一塊位於主動脈弓(aortic arch)之前的均質軟組織密度結構
- 邊緣光滑、形態呈 quadrilateral/triangular,無壓迫周邊組織或氣管、血管的擠位現象 (no mass effect)
- 與上下胸腺組織連續,無囊性低密度(fat/fluid)區、鈣化或異質性增強
符合生理性或正常增大胸腺的典型 CT 特徵:在幼童(<5 歲)時,胸腺呈 quadrilateral,邊緣凸出,對比增強後均一顯影,密度與肌肉相近 (thoracickey.com)。
選項分析
-
選項A: 胸腺 (Thymus)
正常小兒胸腺即位於前縱膈,CT 上呈均質軟組織密度、邊緣平滑,無 mass effect,常見於 2 歲幼童。影像與本例完全吻合,故最可能。 -
選項B: 淋
...(解析預覽)...
![醫師[2] - 心臟及血管疾病 - AI 圖文解析預覽](/_next/image?url=https%3A%2F%2Fbgvxfcrmbdvefjhuvrmt.supabase.co%2Fstorage%2Fv1%2Fobject%2Fpublic%2Fvisual-explanations%2F222%2F16947_tb7ffb135.webp&w=3840&q=75)
升級 VIP 解鎖圖文解析