112年:(醫檢)病生理(1)
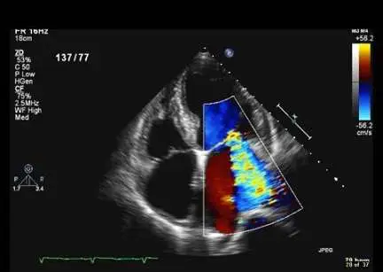
如圖所示, 依此心臟超音波可以得到的資訊,下列何者錯誤?
A左心房擴大
B有主動脈瓣狹窄
C有明顯二尖瓣膜逆流
D沒有心包膜積水
詳細解析
本題觀念:
針對apical four-chamber心臟超音波(echo)彩色多普勒影像解讀,重點在於辨識心房大小、二尖瓣逆流、心包積水,以及適當判斷瓣膜狹窄與否。
影像分析:
- 切面:典型apical four-chamber(A4C)view,探頭置於心尖向上,顯示左、右心房與左、右心室四腔結構。
- 二尖瓣區彩色多普勒:見到一大束血流在Systole期間穿過二尖瓣向左心房噴射,彩色信號以紅(向探頭流動)為主,並有藍色混雜,符合中度至重度mitral regurgitation(MR)之典型表徵。
- 左心房:相較右心房與心室,左心房顯著擴大,房壁圓弧更為突出,提示慢性容量負荷下之房室擴張。
- 心包腔:環繞心臟外緣未見無回聲流體帶,排除心包積水。
- 主動脈瓣:此A4C view並非評估aortic valve狹窄之適當切面,畫面也未見高流速jet或CW Doppler量測,無法支持存在AS。
選項分析
-
選項A 左心房擴大
影像中左心房腔室較其他結構顯著增大,符合慢性MR或高血壓所致的房室擴張。判定為正確。 -
選項B 有主動脈瓣狹窄
A4C view不顯示LVOT跨主動脈瓣流速,亦未見任何高速度jet或狹窄訊號。AS通常須parasternal long-axis或five-chamber view並
...(解析預覽)...

升級 VIP 解鎖圖文解析