115年:醫學四(1)
出生兩天大的女嬰因嘔吐不止就醫,接受上消化道攝影結果如圖示,下列何者為最可能之診斷? 
A中腸旋轉不良
B肥厚性幽門狹窄
C胃食道逆流
D空腸閉鎖症
詳細解析
本題觀念:
本題考查新生兒嘔吐的鑑別診斷,特別是針對**膽汁性嘔吐(Bilious vomiting)與上消化道攝影(Upper GI series)**的影像判讀。出生兩天的嬰兒出現持續性嘔吐,必須優先排除先天性腸道阻塞或外科急症。其中,中腸旋轉不良合併腸扭轉(Midgut Malrotation with Volvulus) 是最危急的狀況,需透過上消化道攝影確診。
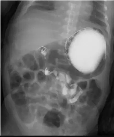
影像分析:
提供的上消化道攝影(Upper GI series)影像顯示:
- 顯影劑流向:顯影劑充滿胃部後,順利進入十二指腸。
- 十二指腸路徑異常:正常的十二指腸應該呈現 C 型環繞(C-loop),並橫跨中線至脊椎左側,且十二指腸空腸交界處(DJ junction, Ligament of Treitz)應位於胃幽門水平高度的脊椎左側。
- 螺旋狀徵象(Corkscrew sign):影像中可見十二指腸並未正常跨越中線至左上腹,而是位於脊椎右側或中線處,並呈現螺旋狀向下(spiral or corkscrew appearance) 的形態。這是因為腸繫膜根部過短,導致小腸圍繞著上腸繫膜動脈(SMA)發生扭轉(Volvulus)。
選項分析:
-
A. 中腸旋轉不良 (Midgut malrotation):正確。
- 臨床表現:多在出生後第一週內(如本題2天大)出現膽汁性嘔吐。
- 影像特徵:上消化道攝影是黃金診斷標準。典型發現為 DJ junction 位置異常(位於脊椎右側或過低)。若合併腸扭轉(Midgut Volvulus),則會出現典型的**「開瓶器徵象」(Corkscrew sign)**,即本題影像所示之螺旋狀小腸迴圈。這是一個外科急症。
-
B. 肥厚性幽門狹窄 (Hypertrophic pyloric stenosis, HPS):錯誤。
- 發病年齡:通常發生在出生後 3-6 週,極少在出生 2 天內發病。
- 臨床表現:噴射狀非膽汁性嘔吐。
- 影像特徵:上消化道攝影會看到「細繩徵象」(String sign)、「雙軌徵象」(Double track sign)或「蘑菇徵象」(Mushroom sign),且胃排空延遲,與本題影像不符。
-
C. 胃食道逆流 (Gastroesophageal reflux, GER):錯誤。
- 雖然新生兒常見,但通常表現為溢奶,且「嘔吐不止」暗示有病理性阻塞。
- 影像上會看到顯影劑從胃部逆流回食道,但無法解釋十二指腸的螺旋狀結構異常。
-
D. 空腸閉鎖症 (Jejunal atresia):錯誤。
- 影像特徵:腹部 X 光通常會呈現**「三泡徵象」(Triple bubble sign)**(胃、十二指腸、近端空腸擴張)。
- 在上消化道攝影中,顯影劑會在閉鎖處截斷(Cut-off),無法進入遠端腸道,且近端腸道會明顯擴張。本題影像顯示顯影劑仍能往下通過,但路徑扭曲,故不符合閉鎖症的表現。
答案解析
患者為出生兩天的新生兒,出現持續嘔吐,上消化道攝影顯示十二指腸未跨越中線,且呈現典型的**「開瓶器徵象」(Corkscrew sign),這是中腸旋轉不良合併中腸扭轉(Midgut Malrotation with Volvulus)** 的特異性影像表現。因此最可能的診斷為 (A) 中腸旋轉不良。
核心知識點
- 新生兒膽汁性嘔吐(Bilious vomiting):在排除診斷前,一律視為中腸扭轉(Midgut Volvulus),屬於外科急症。
- 上消化道攝影(Upper GI series):診斷 Malrotation 的黃金標準。
- 正常:DJ junction 位於脊椎左側 (Left of pedicle) 且高度與十二指腸球部 (Duodenal bulb) 相當。
- 異常:DJ junction 位於脊椎右側或位置過低;若見 Corkscrew sign 則代表已發生扭轉(Volvulus)。
- 肥厚性幽門狹窄:好發於 3-6 週大,非膽汁性嘔吐,超音波可見幽門肌肥厚(Target sign)。
參考資料
- Midgut Malrotation and Volvulus - Radiopaedia
- Upper GI series findings in Malrotation - Medscape